Herpes-simplex-Ösophagitis
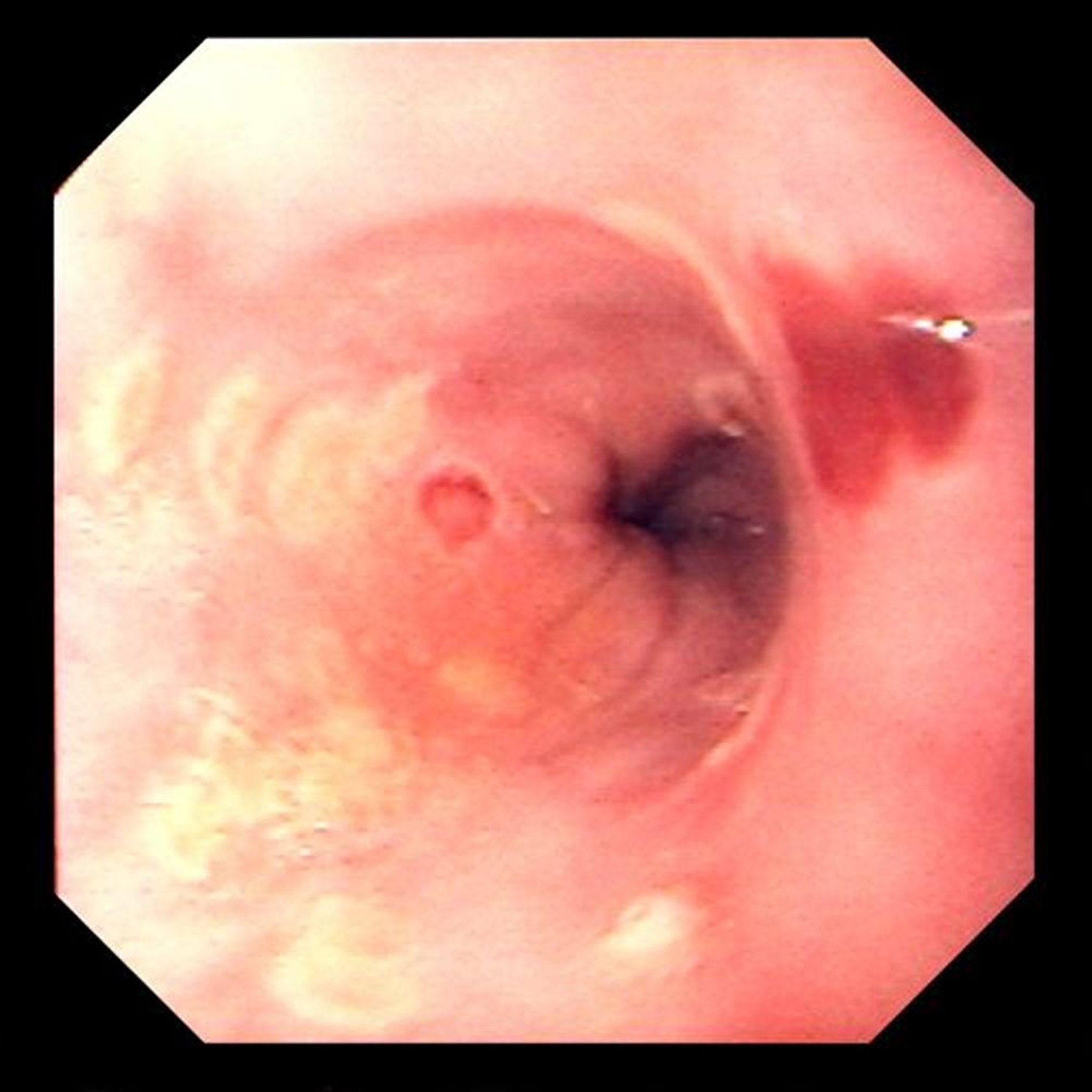
Fokale Ulzerationen sind typisch für Herpes-simplex-Virus-Ösophagitis.
Image provided by David M. Martin, MD.
In diesen Themen
Fokale Ulzerationen sind typisch für Herpes-simplex-Virus-Ösophagitis.
Image provided by David M. Martin, MD.