honeypot link
skip to main content
Fachkreise
Patient
Msd Manual
Ausgabe für medizinische Fachkreise
MEDIZINISCHE THEMEN
RESSOURCEN
KOMMENTAR
VERFAHREN U. UNTERSUCHUNGEN
QUIZFRAGEN
ÜBER
MEDIZINISCHE THEMEN
RESSOURCEN
<
Bilder
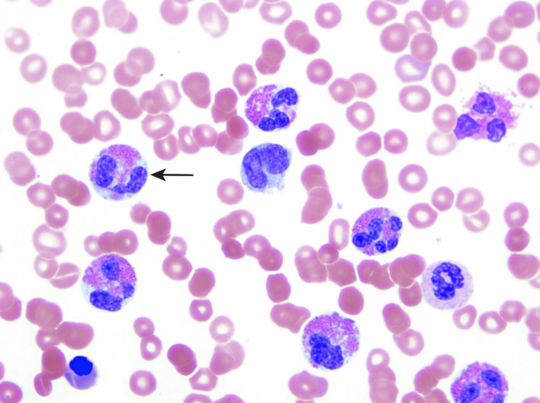
Eosinophilie (peripherer Blutausstrich)
Dieses Bild zeigt eosinophile Zellen (Pfeil).
© Springer Science+Business Media
In diesen Themen
Eosinophilie
>