Endoskopie (Ösophagus)

Endoskopie (Ösophagus)

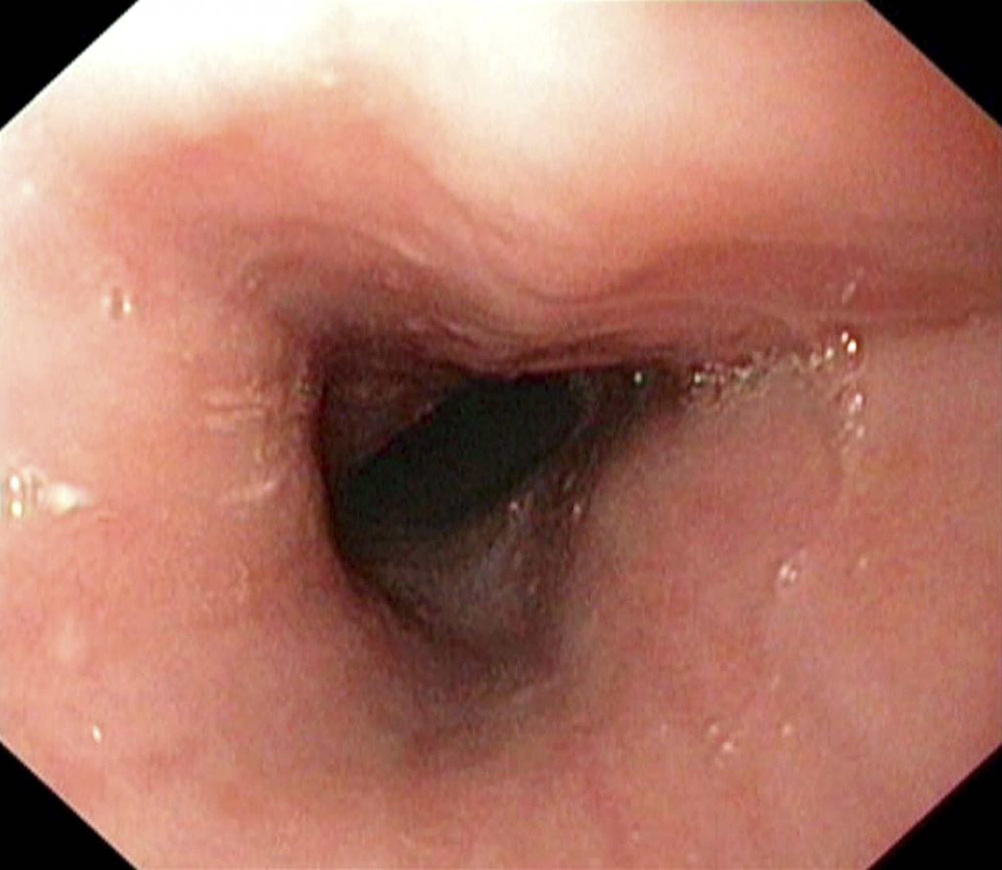
Dieses Foto zeigt eine endoskopische Ansicht eines normalen Ösophagus.

GASTROLAB/SCIENCE PHOTO LIBRARY

In diesen Themen