Divertikulose (CT)
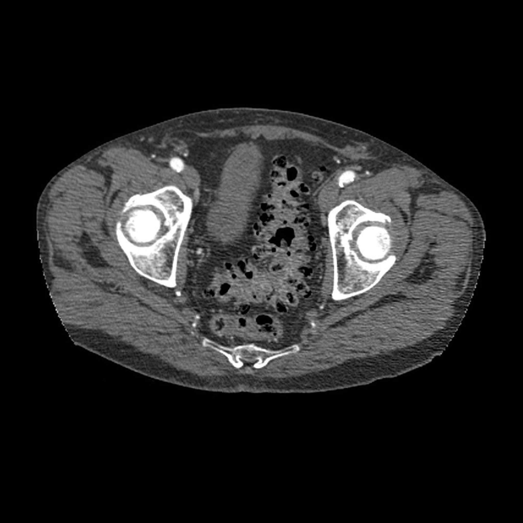
Dieses axiale CT-Querschnittsbild durch das Becken zeigt das typische Erscheinungsbild einer Divertikulose (die dunklen Bereiche in der Wand des Sigmas).
LIVING ART ENTERPRISES, LLC/SCIENCE PHOTO LIBRARY
In diesen Themen
Dieses axiale CT-Querschnittsbild durch das Becken zeigt das typische Erscheinungsbild einer Divertikulose (die dunklen Bereiche in der Wand des Sigmas).
LIVING ART ENTERPRISES, LLC/SCIENCE PHOTO LIBRARY