Diffuse alveoläre Hämorrhagie
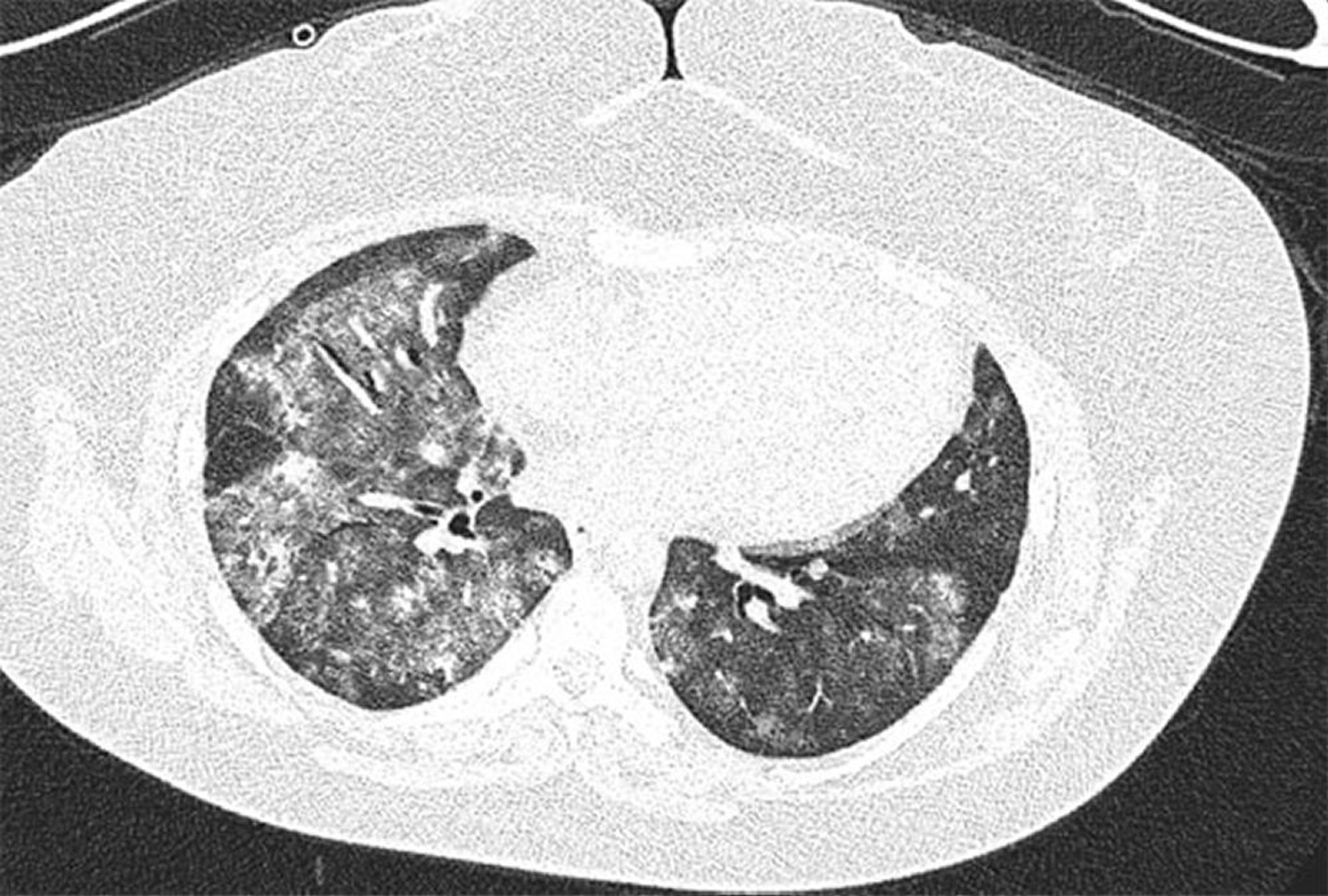
Hochauflösendes CT-Bild einer 28-jährigen Frau mit Antiphospholipid-Syndrom und rezidivierender diffuser Alveolarblutung. Das Bild zeigt beidseitige und fleckige alveoläre Grundglastrübungen mit subpleuraler Verschonung. Bronchoalveoläre Lavage bestätigte alveoläre Blutung.
Image courtesy of Joyce Lee, MD.
In diesen Themen
