CT-Scan von Abdomen und Becken mit normaler Anatomie ohne Kontrastmittel (Folie 4)
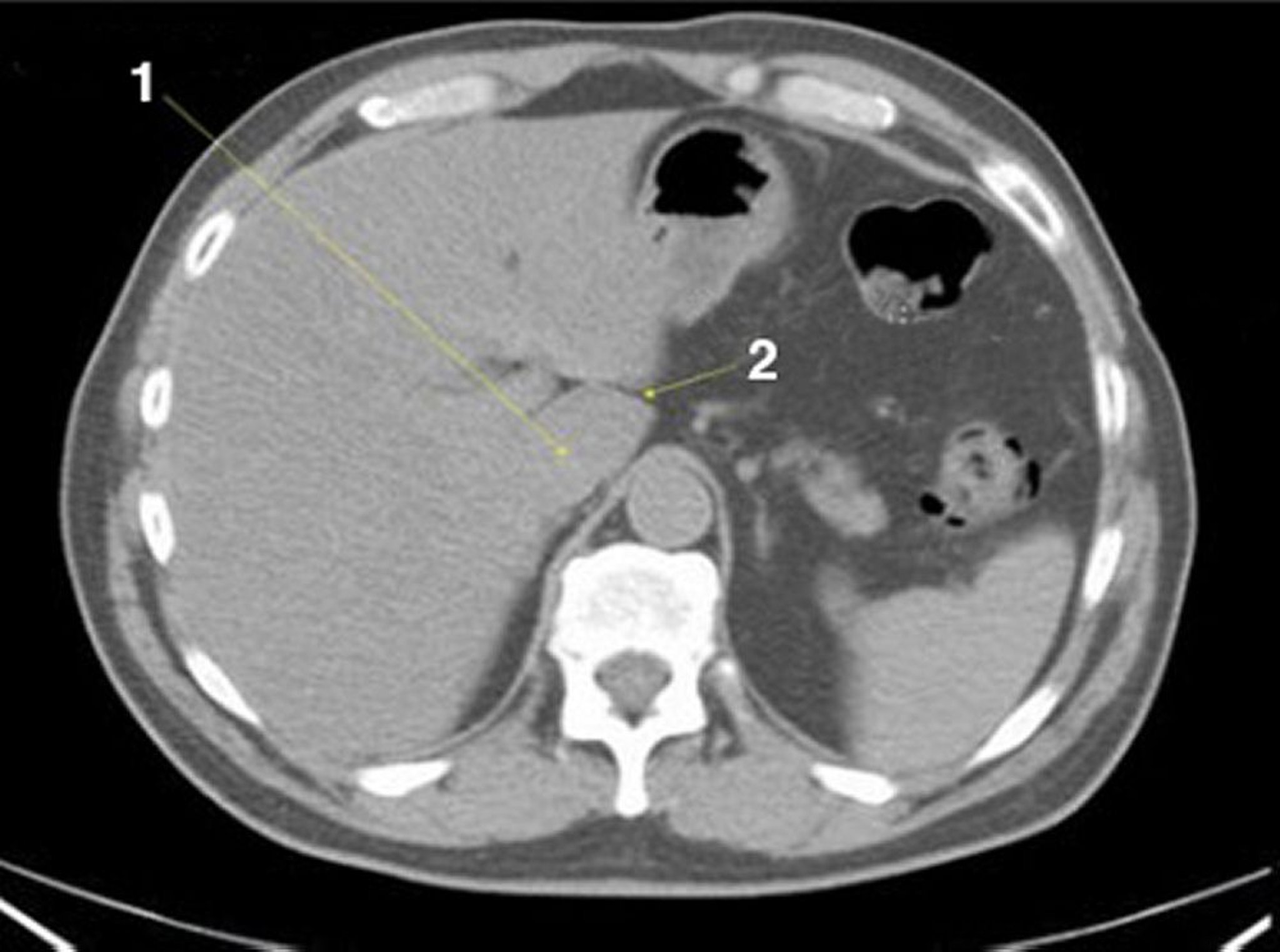
1 = Lobus caudatus der Leber; 2 = Fissur für Ligamentum venosum.
© Springer Science+Business Media
In diesen Themen
1 = Lobus caudatus der Leber; 2 = Fissur für Ligamentum venosum.
© Springer Science+Business Media