CT-Scan von Abdomen und Becken mit normaler Anatomie ohne Kontrastmittel (Folie 24)
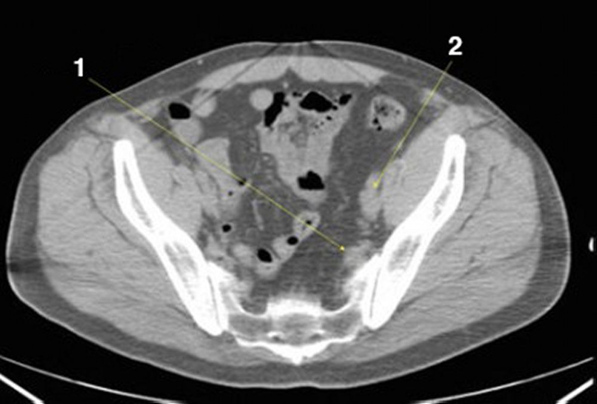
1 = innere iliakale Gefäße; 2 = externe iliakale Gefäße.
© Springer Science+Business Media
In diesen Themen
1 = innere iliakale Gefäße; 2 = externe iliakale Gefäße.
© Springer Science+Business Media