CT-Scan von Abdomen und Becken mit normaler Anatomie ohne Kontrastmittel (Folie 2)
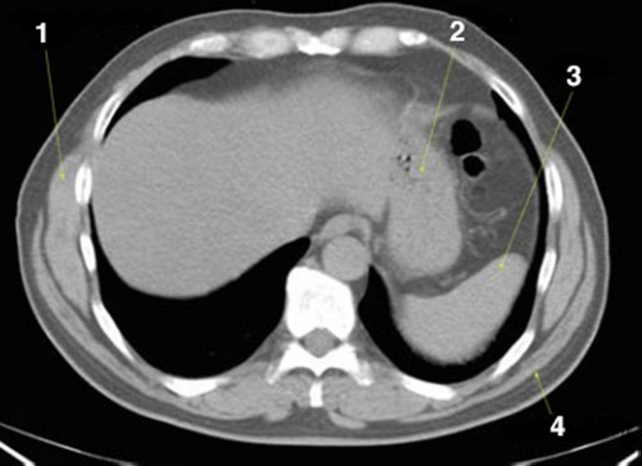
1 = M. serratus anterior; 2 = Magen; 3 = Milz; 4 = M. latissimus dorsi.
© Springer Science+Business Media
In diesen Themen
1 = M. serratus anterior; 2 = Magen; 3 = Milz; 4 = M. latissimus dorsi.
© Springer Science+Business Media