CT-Scan von Abdomen und Becken mit normaler Anatomie ohne Kontrastmittel (Folie 16)
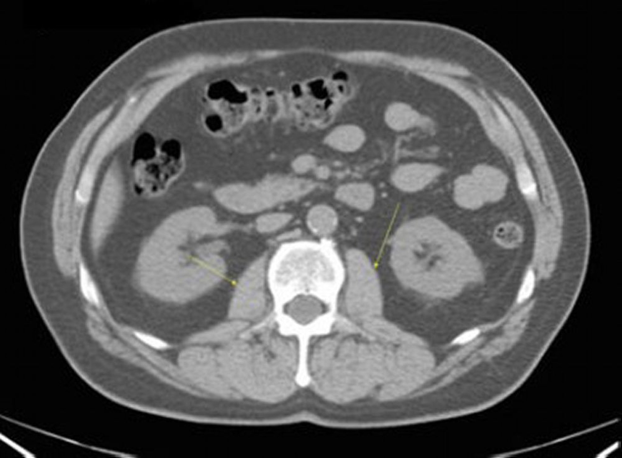
Diese Abbildung zeigt die Psoas-Muskeln (Pfeile).
© Springer Science+Business Media
In diesen Themen
Diese Abbildung zeigt die Psoas-Muskeln (Pfeile).
© Springer Science+Business Media