CT-Scan von Abdomen und Becken mit normaler Anatomie ohne Kontrastmittel (Folie 15)
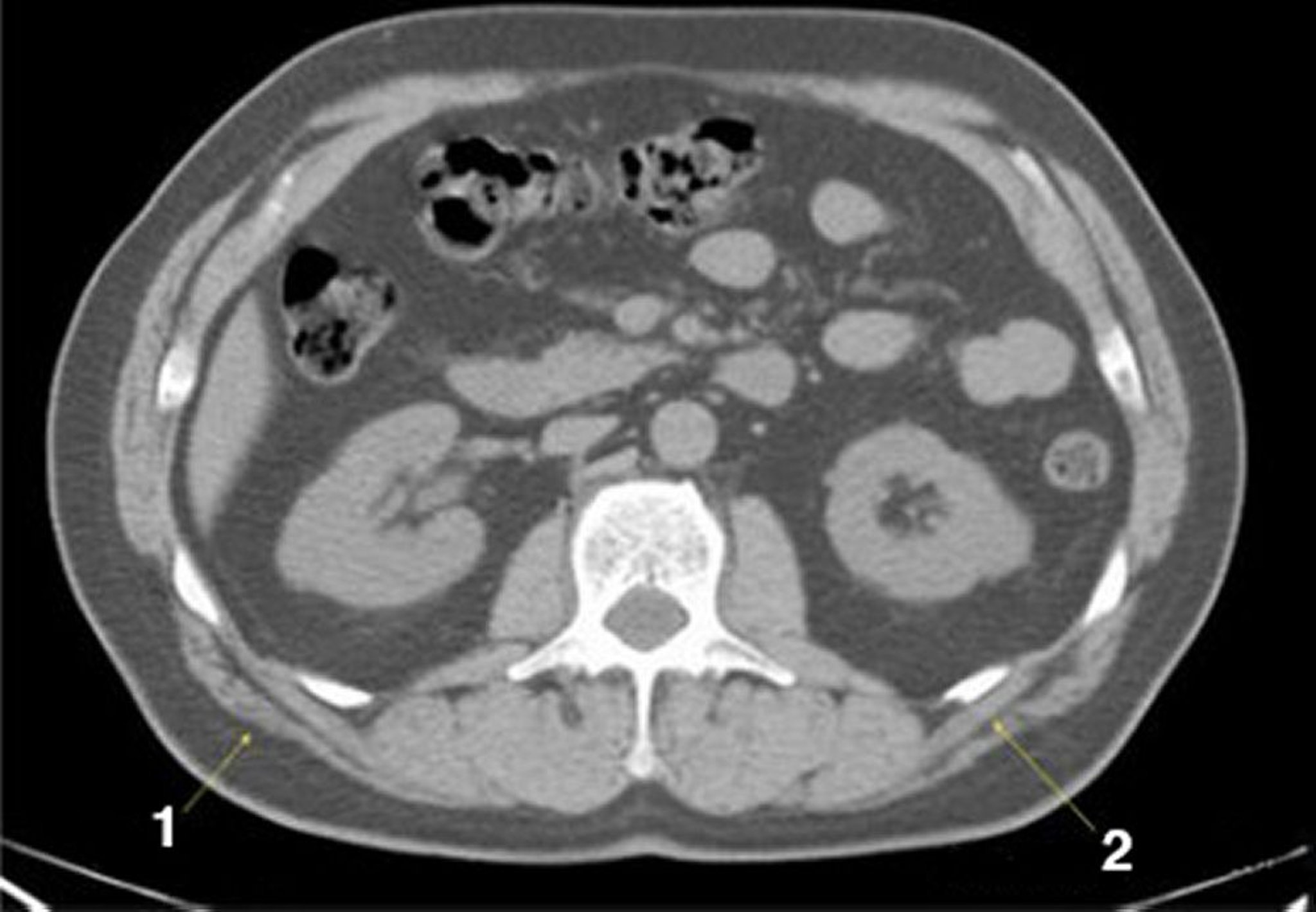
1 = M. latissimus dorsi; 2 = M. serratus posterior.
© Springer Science+Business Media
In diesen Themen
1 = M. latissimus dorsi; 2 = M. serratus posterior.
© Springer Science+Business Media