honeypot link
skip to main content
Fachkreise
Patient
Msd Manual
Ausgabe für medizinische Fachkreise
MEDIZINISCHE THEMEN
RESSOURCEN
KOMMENTAR
VERFAHREN U. UNTERSUCHUNGEN
QUIZFRAGEN
ÜBER
MEDIZINISCHE THEMEN
RESSOURCEN
<
Bilder
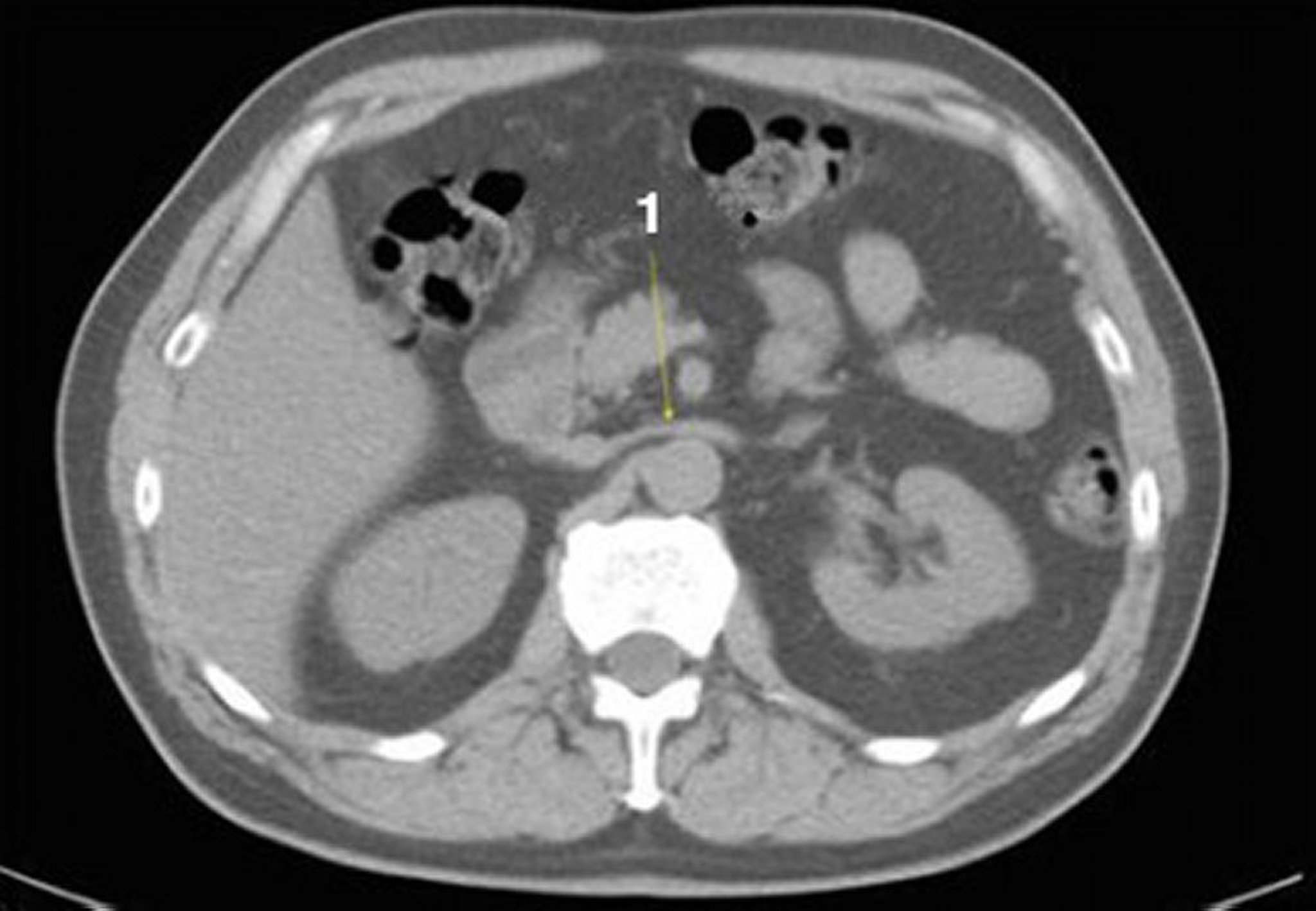
CT-Scan von Abdomen und Becken mit normaler Anatomie ohne Kontrastmittel (Folie 12)
1 = linke Nierenvene.
© Springer Science+Business Media
In diesen Themen
Beurteilung des Gastrointestinalpatienten
>