Chondromyxoid-Fibrom
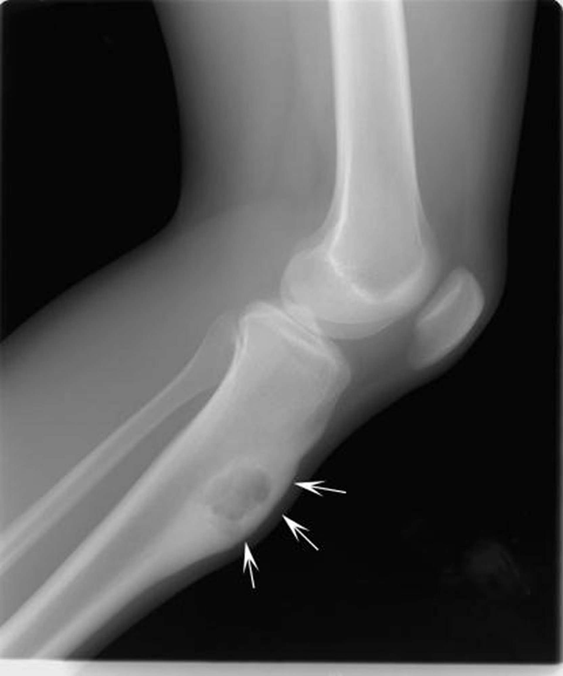
Dieses Röntgenbild des Knies zeigt ein chondromyxoides Fibrom in der Tibia unterhalb des Knies (Pfeile), das den Knochen in der Front ausdehnt.
Image courtesy of Michael J. Joyce, MD, and Hakan Ilaslan, MD.
In diesen Themen
Dieses Röntgenbild des Knies zeigt ein chondromyxoides Fibrom in der Tibia unterhalb des Knies (Pfeile), das den Knochen in der Front ausdehnt.
Image courtesy of Michael J. Joyce, MD, and Hakan Ilaslan, MD.