Allergische bronchopulmonale Aspergillose (Bronchiektasie)
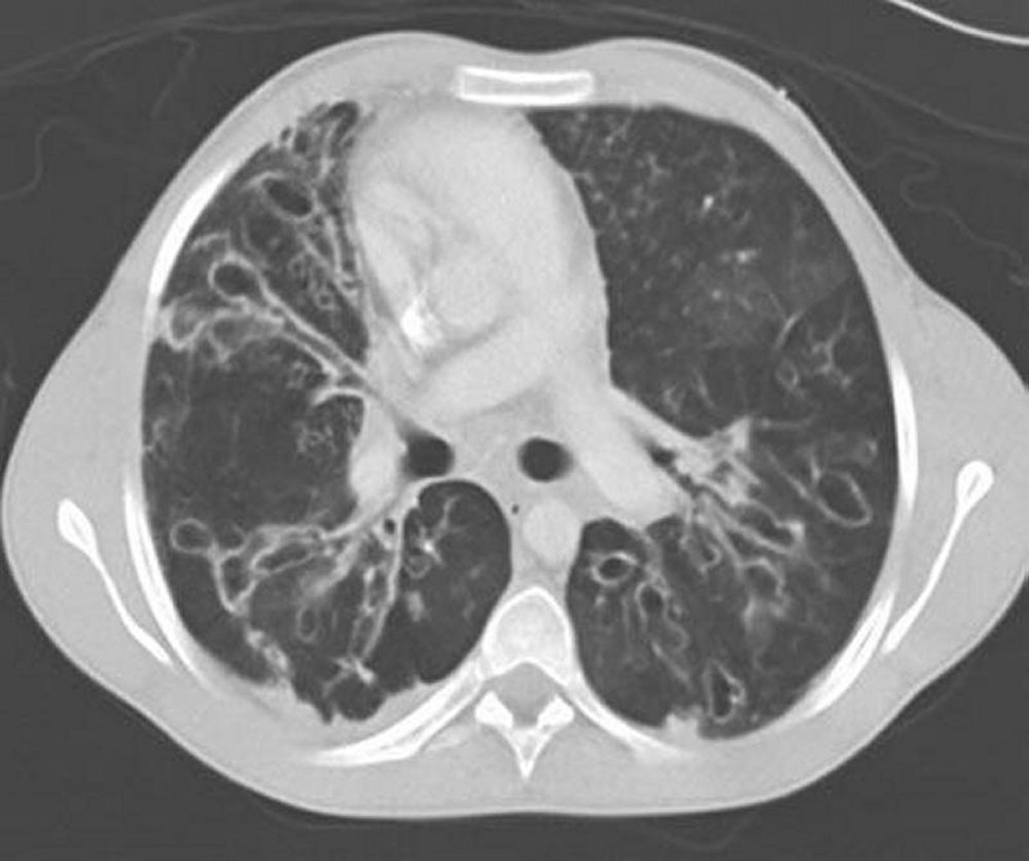
Ein kontrastverstärktes CT des Thorax zeigt schwere Bronchiektasen in den mittleren Lungenbereichen mit stark erweiterten und ektatischen Atemwegen und zystischen Veränderungen. Die Ektasie der Atemwege ist durch ein Verhältnis von Atemwegen zu angrenzenden Gefäßen > 1 gekennzeichnet.
By permission of the publisher. From Coakley R, Boucher R, Fiel S, et al. In Bone's Atlas of Pulmonary and Critical Care Medicine. Edited by J Crapo. Philadelphia, Current Medicine, 2005.
In diesen Themen
