Adamantinom
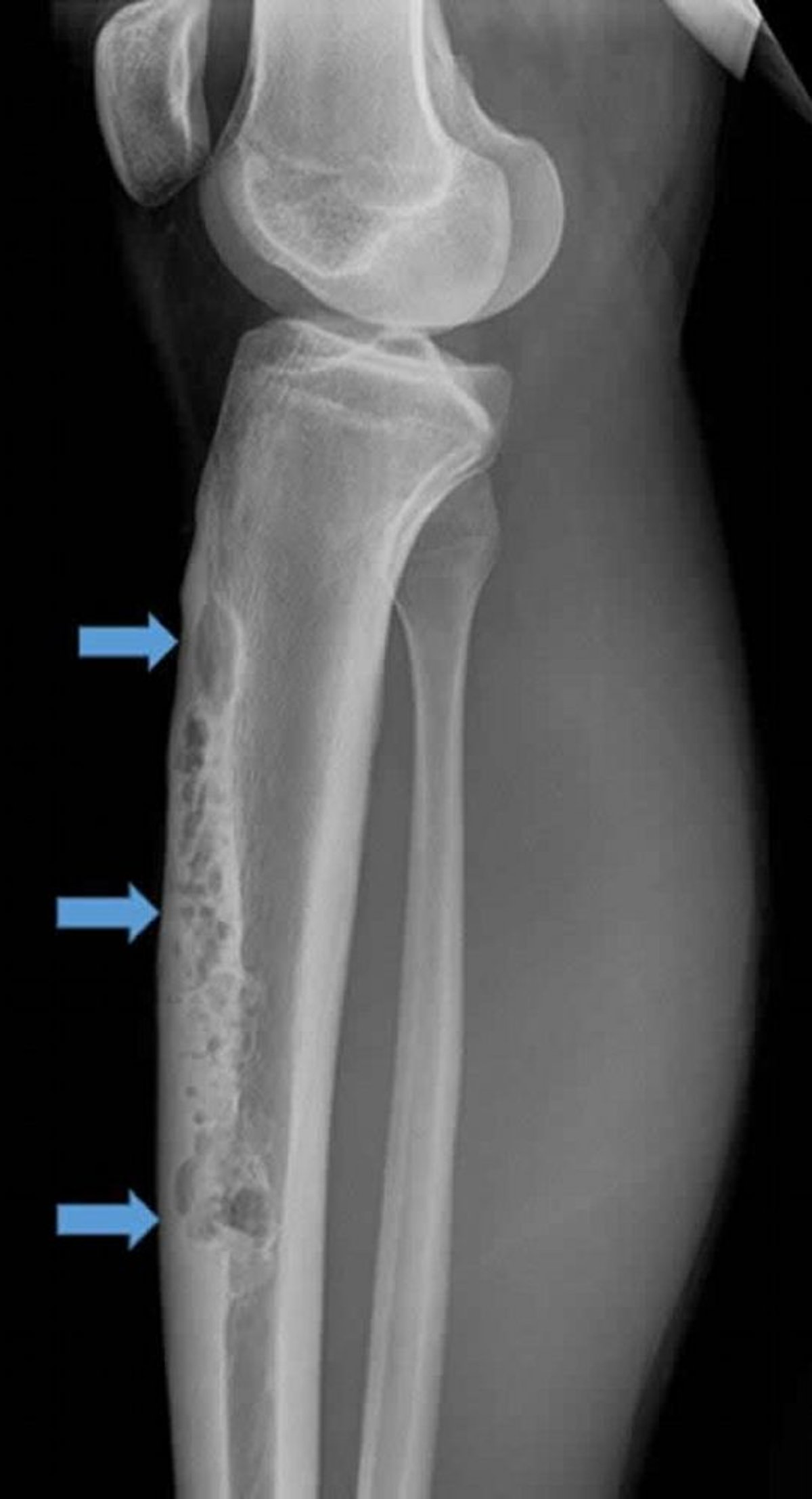
Diese laterale Röntgenaufnahme der rechten Tibia zeigt ein großes anteriores intracorticales Adamantinom (Pfeile). Beachten Sie das durchlässige, osteolytische „Seifenblasen“-Aussehen.
Image courtesy of Michael J. Joyce, MD, and Hakan Ilaslan, MD.
In diesen Themen
