Zöliakie

(Glutenenteropathie)

VonZubair Malik, MD, Virtua Health System
Reviewed ByMinhhuyen Nguyen, MD, Fox Chase Cancer Center, Temple University
Überprüft/überarbeitet März 2025 | Geändert Apr. 2025
v893989_de
Aussicht hier klicken.

Zöliakie ist eine immunologisch vermittelte Krankheit bei genetisch empfänglichen Personen. Sie wird verursacht durch eine Intoleranz gegenüber Gluten, die zu Darmschleimhautentzündung, Zottenatrophie und Malabsorption führt. Die Symptomatik besteht in der Regel aus Diarrhö und abdominellen Missempfindungen. Die Diagnose wird mithilfe einer Dünndarmbiopsie gestellt, die charakteristische, allerdings nicht spezifische pathologische Veränderungen im Sinne einer Zottenatrophie zeigt, die durch eine strikte glutenfreie Diät rückbildungsfähig ist.

Zöliakie ist eine Malabsorptionsstörung (1).

Hinweis

  1. 1. Stanciu D, Staykov H, Dragomanova S, et al. Gluten Unraveled: Latest Insights on Terminology, Diagnosis, Pathophysiology, Dietary Strategies, and Intestinal Microbiota Modulations-A Decade in Review. Nutrients. 2024;16(21):3636. Published 2024 Oct 25. doi:10.3390/nu16213636

Ätiologie der Zöliakie

Die Zöliakie ist eine erbliche Krankheit, die durch eine erhöhte Empfindlichkeit gegenüber der Gliadinfraktion des Glutens, eines Weizenproteins, hervorgerufen wird. Ähnliche Proteine kommen auch in Roggen und Gerste vor. Bei genetisch empfänglichen Personen werden glutenspezifische T-Zellen aktiviert, sobald ihnen Peptidepitope vom Gluten präsentiert werden. Die Entzündungsreaktion führt zur charakteristischen Zottenatrophie der Dünndarmschleimhaut.

Epidemiologie der Zöliakie

Zöliakie kann bis zu 1,4% der Weltbevölkerung betreffen, wie aus serologischen Untersuchungen von Blutspendern hervorgeht (1). Die globale Prävalenz der biopsiegesicherten Zöliakie ist etwa halb so hoch und schwankt je nach Region zwischen 0,4 und 0,8%.

Die Krankheit betrifft etwa 7,5% der Verwandten ersten Grades, wobei die Prävalenz bei Frauen höher ist als bei Männern (2). In der Regel tritt die Krankheit in der Kindheit auf, aber auch später.

Patienten, die andere Krankheiten haben, wie lymphatische Colitis, Down-Syndrom, Typ Diabetes Mellitus, und autoimmune (Hashimoto) Thyreoiditis besitzen ein Risiko Zöliakie zu entwickeln.

Literatur zur Epidemiologie

  1. 1. Singh P, Arora A, Strand TA, et al. Global Prevalence of Celiac Disease: Systematic Review and Meta-analysis. Clin Gastroenterol Hepatol. 2018;16(6):823-836.e2. doi:10.1016/j.cgh.2017.06.037

  2. 2. Singh P, Arora S, Lal S, Strand TA, Makharia GK. Risk of Celiac Disease in the First- and Second-Degree Relatives of Patients With Celiac Disease: A Systematic Review and Meta-Analysis. Am J Gastroenterol. 2015;110(11):1539-1548. doi:10.1038/ajg.2015.296

Symptome und Zeichen der Zöliakie

Das klinische Erscheinungsbild variiert ausreichend, sodass kein typisches Erscheinungsbild existiert. Einige Patienten sind asymptomatisch oder haben nur Zeichen eines Ernährungsmangels. Andere leiden unter deutlichen gastrointestinalen Symptomen.

Die Zöliakie kann sich bei Kleinkindern oder in der Jugend durch Aufnahme von Getreideprodukten (meist Getreideflocken) mit der Nahrung manifestieren. Die Kinder wachsen nicht mehr, sie sind apathisch, anorektisch, blass, generell hypoton mit Auftreibung des Leibes und Muskelschwund. Der Stuhl ist weich, voluminös, lehmfarben und riecht übel. Bei älteren Kindern kann eine Anämie oder Wachstumsstörung vorliegen.

Bei Erwachsenen sind Mattigkeit, Schwäche und Anorexie die häufigsten Symptome. Eine geringe, intermittierend auftretende Diarrhö kann manchmal Erstsymptom sein, Die Steatorrhö (übel riechende, blasse, sperrige und fettige Stühle) variiert im Schweregrad zwischen gering und schwer (7–50 g Fett/Tag). Viele Patienten leiden unter Gewichtsverlust, aber meist nicht so ausgeprägt, dass sie untergewichtig werden. Bei diesen Patienten werden häufig Anämie, Entzündungen der Zunge und der Mundwinkel und Aphthen gesehen. Häufig manifestiert sich ein Vitamin-D- oder -Kalziummangel (z. B. als Osteomalazie, Osteopenie, Osteoporose). Sowohl Männer als auch Frauen zeigen eine reduzierte Fertilität; bei Frauen bleibt möglicherweise die Menstruation aus.

Bei ca. 17% der Patienten tritt eine Dermatitis herpetiformis auf, ein von starkem Juckreiz begleiteter papulovesikulärer Hautausschlag, symmetrisch verteilt über die Streckseiten der Ellbogen, über Knie, Gesäßbacken, Schultern und Kopf (1). Dieser Ausschlag kann durch eine glutenhaltige Nahrung hervorgerufen werden.

Dermatitis herpetiformis Duhring an den Ellenbogen
Einzelheiten ausblenden

Dieses Foto zeigt Dermatitis herpetiformis (mit einem symmetrischen juckenden papulovesikulären Ausschlag) auf der Streckseite der Ellenbogen.

© Springer Science+Business Media
Dermatitis herpetiformis verursacht durch Zöliakie
Einzelheiten ausblenden

Die Dermatitis herpetiformis ist durch Anhäufungen von stark juckenden, erythematösen, urtikariellen Läsionen sowie Bläschen, Papeln und Bullae gekennzeichnet, die in der Regel symmetrisch auf Streckseiten verteilt sind.

Image courtesy of the Public Health Image Library of the Centers for Disease Control and Prevention.

Hinweise auf Symptome und Zeichen

  1. 1. Reunala T, Salmi TT, Hervonen K, Kaukinen K, Collin P. Dermatitis Herpetiformis: A Common Extraintestinal Manifestation of Coeliac Disease. Nutrients. 2018;10(5):602. Published 2018 May 12. doi:10.3390/nu10050602

Diagnose von Zöliakie

  • Serologische Marker

  • Dünndarmbiopsie

(Siehe auch the American College of Gastroenterology's 2023 Guidelines Update: Diagnosis and Management of Celiac Disease.)

An die Diagnose von Zöliakie muss man denken, wenn sich klinisch und bei der Laboruntersuchung Befunde ergeben, die verdächtig auf Malabsorption sind. Eine familiäre Belastung ist ein wertvoller Hinweis. Eine Zöliakie muss man besonders in Erwägung ziehen bei Patienten mit Eisenmangel, bei denen keine offensichtlichen gastrointestinalen Blutungen vorliegen.

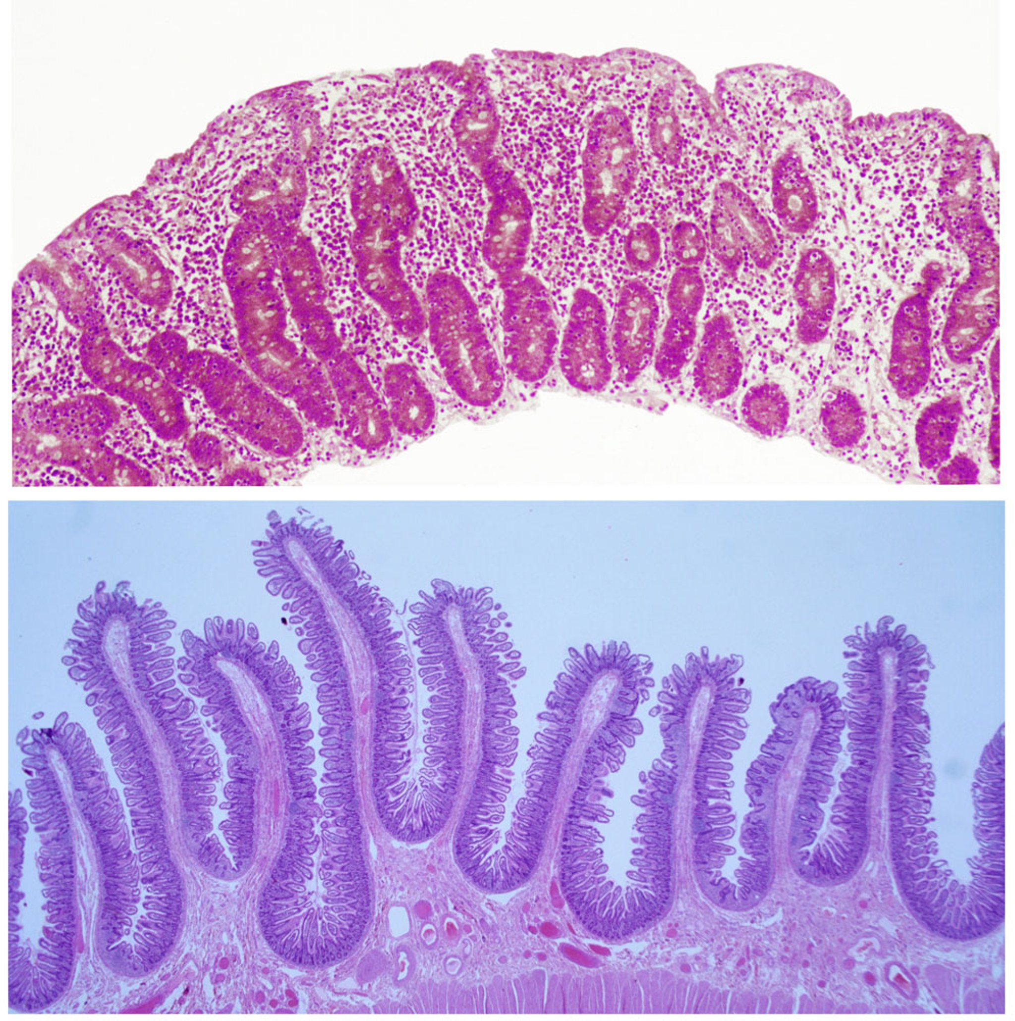
Die Diagnose wird gesichert durch eine Dünndarmbiopsie aus dem unteren Abschnitt des Duodenums. Der histologische Befund besteht aus einer Zottenatrophie, vermehrten intraepithelialen Zellen und einer Kryptenhyperplasie. Die histologischen Veränderungen können aber auch bei der tropischen Sprue, bei schwerer bakteriellen Überwucherung des Dünndarms, einer eosinophilen Enteritis, infektiösen Enteritis (z. B. Giardiasis) und Lymphomen vorkommen.

Weil die Biopsie nicht spezifisch ist, werden serologische Marker zur Diagnose herangezogen. Gewebetransglutaminase-Antikörper (tTG)-IgA-Antikörper und Endomysium-IgA-Antikörper (EMA—ein Antikörper gegen ein Protein des intestinalen Bindegewebes) haben eine Sensitivität und Spezifität von > 90% (1). Diese Marker können auch dazu verwandt werden, eine Bevölkerung mit hoher Prävalenz für eine Zöliakie zu screenen, inkl. Verwandten 1. Grades von Betroffenen und von Patienten mit Krankheiten, die häufig in Assoziation mit Zöliakie vorkommen. Wenn einer der Tests positiv ist, sollte bei dem Patienten eine diagnostische Dünndarmbiopsie durchgeführt werden. Sind beide negativ, ist eine Zöliakie extrem unwahrscheinlich. Die Antikörpertiter nehmen bei Patienten unter glutenfreier Diät ab und sind daher nützlich bei der Überwachung der Compliance des Patienten. Alle diagnostischen serologischen Tests sollten mit Patienten, die eine glutenhaltige Diät einhalten, durchgeführt werden.

Der IgA-Serumspiegel sollte gleichzeitig mit dem tTG-Test gemessen werden, da ein IgA-Mangel zu falsch-negativen Ergebnissen führen kann. Wird ein IgA-Mangel festgestellt, wird ein Test auf IgG-Antikörper gegen tTG und deaminiertes Gliadinpeptid (DGP) empfohlen.

Histokompatibilitätstests können bei ausgewählten klinischen Situationen nützlich sein. Mehr als 95% der Zöliakiepatienten haben das humane Leukozytenantigen-DQ2- oder humane Leukozytenantigen (HLA)-DQ8-Haplotyp (2), obwohl diese Haplotypen nicht besonders spezifisch für Zöliakie sind. Aufgrund der hohen Sensitivität können Tests, die humane Leukozytenantigen-DQ2 oder -DQ8 nicht zeigen, eine Zöliakie effektiv ausschließen, wenn Biopsie und serologische Marker nicht übereinstimmend sind.

Weitere Laborwerte können pathologisch sein und müssen daher untersucht werden. Dazu gehören Anämie (Eisenmangelanämie bei Kindern und Folsäuremangelanämie bei Erwachsenen), Hypalbuminämie, Hypokalzämie, Hypokaliämie, Hyponatriämie, erhöhte alkalische Phosphatase und verlängerte Prothrombinzeit.

Malabsorptiontests sind nicht spezifisch für die Zöliakie. Wenn diese Tests durchgeführt werden, sind häufige Befunde eine Steatorrhoe von 10 bis 40 g/Tag und abnormale Ergebnisse bei D-Xylose sowie (bei schwerer Ileum-Erkrankung) positive Schilling-Tests.

Die Nicht-Zöliakie-Glutensensitivität (NCGS) oder Glutenunverträglichkeit ist eine nicht immunvermittelte Reaktion auf die Aufnahme von Gluten. Es treten ähnliche gastrointestinale Symptome auf wie bei Patienten mit Zöliakie, aber Biopsien zeigen normale Zotten und serologische Marker schließen Zöliakie (und Weizenallergie) aus. Es gibt einige Berichte über unspezifische serologische Marker, die bei NCGS erhöht sein können (3). Im Vergleich zur Zöliakie hat die Glutensensitivität keine schwerwiegenden negativen Auswirkungen auf die allgemeine Gesundheit, und ihre Auswirkungen beschränken sich hauptsächlich auf unangenehme Magen-Darm-Symptome. Wie bei der Zöliakie besteht die Behandlung in der Vermeidung von Gluten.

Tipps und Risiken

  • Bei Patienten mit Eisenmangel, aber ohne ersichtliche gastrointestinale Blutungen ist immer auch an eine Zöliakie zu denken.

Literatur zur Diagnose

  1. 1. Rubio-Tapia A, Hill ID, Semrad C, et al. American College of Gastroenterology Guidelines Update: Diagnosis and Management of Celiac Disease [published correction appears in Am J Gastroenterol. 2024 Jul 1;119(7):1441. doi: 10.14309/ajg.0000000000002210]. Am J Gastroenterol. 2023;118(1):59-76. doi:10.14309/ajg.00000000000020751. Epub 2022 Sep 21. Erratum in: Am J Gastroenterol. 2024 Jul 1;119(7):1441. doi: 10.14309/ajg.0000000000002210

  2. 2. Kaukinen K, Partanen J, Mäki M, Collin P. HLA-DQ typing in the diagnosis of celiac disease. Am J Gastroenterol. 97(3):695–699, 2002. doi: 10.1111/j.1572-0241.2002.05471.x

  3. 3. Hill ID, Fasano A, Guandalini S, et al. NASPGHAN Clinical Report on the Diagnosis and Treatment of Gluten-related Disorders. J Pediatr Gastroenterol Nutr. 2016;63(1):156-165. doi:10.1097/MPG.0000000000001216

Behandlung von Zöliakie

  • Glutenfreie Ernährung

  • Supplemente bei allen ernsthaften Mangelzuständen

(Siehe auch the American College of Gastroenterology's 2023 Guidelines Update: Diagnosis and Management of Celiac Disease.)

Die Behandlung von Zöliakie besteht in einer glutenfreien Diät (Vermeidung von Nahrungsmitteln, die Weizen, Roggen oder Gerste enthalten). Gluten wird häufig in kommerziell zubereiteten Lebensmitteln verwendet, daher benötigen Patienten eine detaillierte Liste der zu vermeidenden Lebensmittel. Die Patienten werden ermutigt, einen Ernährungsberater zu konsultieren und sich ebenfalls einer Zöliakie-Selbsthilfegruppe anzuschließen (englischsprachige Gruppen umfassen Beyond Celiac oder die Celiac Disease Foundation). Der Erfolg einer glutenfreien Diät tritt in der Regel schnell ein und die Symptome verschwinden innerhalb von 1–2 Wochen. Das Verzehren selbst kleiner Mengen von Lebensmitteln, die Gluten enthalten, kann jedoch die Remission verhindern oder einen Rezidiv auslösen.

Eine Dünndarmbiopsie sollte nach 3–6 Monaten glutenfreier Diät wiederholt werden. Wenn die pathologischen Veränderungen in der Histologie persistieren, müssen andere Ursachen einer Zottenatrophie (z. B. Lymphome) in Erwägung gezogen werden. Ein Nachlassen der Symptome und eine Verbesserung der Dünndarmmorphologie führen auch zu einem Abfall der Anti-Gewebe-Transglutaminase-Antikörper und der anti-endomysialen Antikörpertiter im Serum.

Ergänzende Vitamine, Mineralien und Hämatinpräparate werden entsprechend der Mangelzustände ersetzt. Während leichte Fälle oft nicht behandelt werden müssen, erfordern schwere Fälle eine umfassende Substitutionstherapie. Bei Erwachsenen umfasst die Ersatztherapie orales Eisensulfat, orale Folsäure, Kalziumpräparate und ein beliebiges Standard-Multivitaminpräparat. In Einzelfällen erfordern Kinder (seltener Erwachsene), die bei der Diagnosestellung schwer krank sind, eine Ruhigstellung des Darms und eine totale parenterale Ernährung.

Wenn ein Patient nur schlecht auf den Glutenentzug anspricht, ist entweder die Diagnose falsch oder die Krankheit therapierefraktär geworden. Unter Umständen können Kortikosteroide bei therapierefraktärer Krankheit die Symptome bessern.

Prognose für Zöliakie

Komplikationen bei Zöliakie sind eine therapierefraktäre Erkrankung, eine kollagene Sprue und die Entwicklung von Lymphomen des Darms.

Darmlymphome treten bei 6–8% der Patienten mit Zöliakie auf, meistens manifestieren sie sich 20–40 Jahre nach Krankheitsbeginn. Die Inzidenz für andere Krebserkrankungen des Gastrointestinaltrakts (Karzinome der Speiseröhre und des Oropharynx, Adenokarzinome des Dünndarms) nimmt ebenfalls zu (1): Wenn man sich streng an die glutenfreie Diät hält, wird das Risiko für eine Krebserkrankung signifikant vermindert.

Wenn Menschen, die sich lange Zeit glutenfrei ernährt haben, erneut Symptome einer Zöliakie entwickeln, führen die Ärzte in der Regel eine obere Endoskopie mit Dünndarmbiopsie und/oder eine Kapselendoskopie durch, um nach Anzeichen eines Darmlymphoms zu suchen.

Hinweis zur Prognose

  1. 1. Ilus T, Kaukinen K, Virta LJ, et al. Incidence of malignancies in diagnosed celiac patients: A population-based estimate. Am J Gastroenterol. 109(9):1471–1477, 2014. doi: 10.1038/ajg.2014.194

Wichtige Punkte

  • Unter Zöliakie versteht man eine entzündliche Reaktion auf Gluten, die Zottenatrophie und Malabsorption verursacht.

  • Die Prävalenz ist in den verschiedenen Bevölkerungsgruppen weltweit unterschiedlich.

  • Ein Verdacht auf die Diagnose besteht, wenn die serologischen Marker Anti-Transglutaminase-Antikörper und Anti-Endomysium-Antikörper vorhanden sind. Bestätigt wird die Diagnose durch eine Dünndarmbiopsie.

  • Der Patient bekommt die Empfehlung, eine glutenfreie Diät zu befolgen und Vitamin- oder Mineralstoffmangelzustände zu substituieren.

quizzes_lightbulb_red
Test your KnowledgeTake a Quiz!
DE_MSD_Mobile_Pro_326IOS ANDROID
DE_MSD_Mobile_Pro_326IOS ANDROID
DE_MSD_Mobile_QR_Pro_326iOS ANDROID