Fehlbiss

(Zahnfehlstellung)

VonBernard J. Hennessy, DDS, Texas A&M University, College of Dentistry
Überprüft vonDavid F. Murchison, DDS, MMS, The University of Texas at Dallas
Überprüft/überarbeitet Jan. 2024 | Geändert Apr. 2025
v28486669_de
DIE AUSGABE FÜR MEDIZINISCHE FACHKREISE ANSEHEN

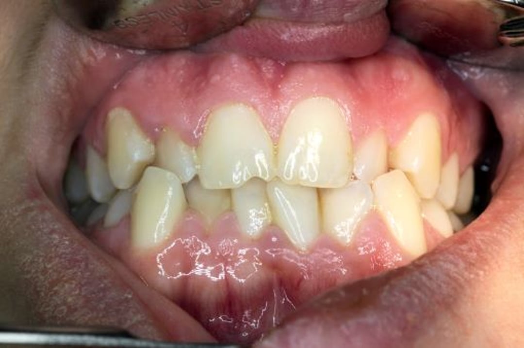
Fehlbiss bezieht sich auf die Stellung der Zähne und die Art und Weise, wie Ober- und Unterkiefer zusammenpassen.

Im Idealfall greifen die vorderen Oberkieferzähne leicht über die des Unterkiefers. Diese Überlappung ermöglicht es den Höckern des jeweiligen Zahns, sich in die entsprechende Vertiefung des gegenüberliegenden Zahns zu fügen. Die richtige Ausrichtung bewirkt den wirksamsten Kauvorgang und die gleichmäßige Kraftverteilung beim Kauen. Beim Kauen wirkt eine Kraft von über 1000 Kilopascal auf die Backenzähne und beim Zusammenbeißen der Zähne im Schlaf eine Kraft von 1700 Kilopascal. Wenn durch eine Zahnfehlstellung die Kräfte ungleich verteilt sind, können sich die Zähne ungleichmäßig abnutzen, Teile der Zahnkrone können brechen, und die Zähne können sich schließlich lockern.

Identifizierung der bleibenden Zähne (Erwachsenenzähne)

Die bleibenden Zähne werden anhand der Zahlen 1–32 identifiziert. Die Zähne werden von hinten im Mund nach vorn durchnummeriert, beginnend auf der rechten oberen Seite mit der Nummer 1. Es gibt mehrere verschiedene Zahnschemata. Das abgebildete „Universal Numbering System“ ist das in den Vereinigten Staaten am häufigsten verwendete Zahnschema.

Es gibt 32 bleibende Zähne: jeweils ein Paar der oberen dritten Molaren (1 und 16) – die auch als Weisheitszähne bezeichnet werden –, der oberen zweiten Molaren (Backenzähne) (2 und 15), der oberen ersten Molaren (3 und 14), der oberen zweiten Prämolaren (4 und 13), der oberen ersten Prämolaren (5 und 12), der oberen Eckzähne (6 und 11), der oberen seitlichen Schneidezähne (7 und 10), der oberen mittleren Schneidezähne (8 und 9), der unteren dritten Molaren (32 und 17) – auch als Weisheitszähne bezeichnet –, der unteren zweiten Molaren (31 und 18), der unteren ersten Molaren (30 und 19), der unteren zweiten Prämolaren (29 und 20), der unteren Eckzähne (27 und 22), der unteren seitlichen Schneidezähne (26 und 23) und der unteren Schneidezähne (25 und 24).

Ursachen von Fehlbiss

Für Zahnfehlstellungen gibt es mehrere mögliche Ursachen:

  • Die Größen von Kiefer und Zähnen passen nicht zusammen

  • Habituelles Daumenlutschen und/oder Drücken mit der Zunge

  • Verlorene Zähne

  • Bestimmte Geburtsfehler an den Zähnen

Die häufigste Ursache für Zahnfehlstellungen ist ein zu kleiner Kiefer im Verhältnis zur Größe der Zähne. Eine leichte Nichtübereinstimmung führt zu einer Zusammenstauchung und damit einer Fehlstellung der Zähne.

Habituelles Daumenlutschen oder Drücken mit der Zunge gegen die Schneidezähne kann dazu führen, dass diese vorstehen.

Ein dauerhaft verlorener Zahn bildet eine Lücke, in die benachbarte Zähne hineinwachsen, was zu einer Fehlstellung führt, wenn der Zahnarzt nicht eine Brücke, ein Implantat oder einen partiellen Zahnersatz in die Lücke einfügt. Normalerweise werden verlorene Milchzähne schnell durch bleibende Zähne ersetzt. Wenn jedoch ein Kind einen Milchzahn zu früh verliert, können sich benachbarte Zähne ähnlich verschieben und eine Fehlstellung bewirken.

Geburtsfehler und Brüche des Kiefers bewirken oft eine Fehlstellung.

Behandlung von Fehlbiss

  • Zahnspangen oder Zahnaligner

  • Manchmal die Entfernung von Zähnen

  • Manchmal operative Eingriffe

Zumeist ist der wichtigste Grund für eine Korrektur der Fehlstellung die äußere Erscheinung. Allerdings kann eine Behandlung schwerwiegender Fehlstellungen erforderlich sein, um Zahnschäden zu verhindern und die Fähigkeiten zu sprechen und zu kauen zu verbessern.

Eine Korrektur der Fehlstellung erfordert eine Zahnspange oder für einige Menschen einen vom Zahnarzt verschriebenen Zahnaligner.

Zahnärzte bringen eine Zahnspange aus Klammern an. Die Klammern werden über Drähte und elastische Bänder miteinander verbunden, die Kraft ausüben, um Zähne allmählich in eine gesunde Stellung zu bringen. Durch langsames Ziehen formt sich der dem Zahnbett zugrunde liegende Knochen um und bewirkt eine dauerhafte Verlagerung der Zähne. Manchmal müssen Zähne entfernt werden, um für eine Neuausrichtung Platz zu machen. Zuweilen muss die Substanz eines oder mehrerer Zähne heruntergeschliffen oder aufgebaut werden, damit die Zahnreihen des Ober- und Unterkiefers besser zusammenpassen. Nachdem die Zähne korrekt ausgerichtet wurden, werden die Klammern entfernt und die Betroffenen tragen eine Zahnspange, um die Position der Zähne zu erhalten. Zunächst wird die Zahnspange 24 Stunden täglich getragen, dann 2 oder 3 Jahre lang nur noch nachts.

Zahnaligner werden manchmal als klare Zahnspangen oder unsichtbare Zahnspangen bezeichnet. Zahnaligner sind eine Reihe klarer Kunststoffgeräte (ähnlich wie Zahnklammern), die in einer bestimmten Reihenfolge verwendet werden, um die Zähne langsam zu bewegen (bis zu 0,3 mm pro Aligner). Jeder Aligner wird etwa 2 Wochen lang getragen und dann gewechselt, bis die Fehlstellung korrigiert wird. Wie bei traditionellen Zahnspangen wird eine Zahnklammer verwendet, um zu verhindern, dass die Zähne sich in die Ausgangsstellung zurückbewegen.

Manchmal müssen Geburtsfehler des Kiefers und falsch abgeheilte Kieferfrakturen operativ korrigiert werden.

Weitere Informationen

Die folgende Quelle in englischer Sprache kann nützlich sein. Bitte beachten Sie, dass das MANUAL nicht für den Inhalt dieser Quelle verantwortlich ist.

  1. MouthHealthy.org: Bietet Informationen zur Mund- und Zahngesundheit, zur Ernährung sowie Hinweise zur Auswahl von Produkten, die mit dem Siegel der US-amerikanischen zahnärztlichen Vereinigung (American Dental Association) gekennzeichnet sind. Sie enthält auch Ratschläge darüber, wie man einen Zahnarzt findet und wann man zu einem Zahnarzt gehen sollte.

quizzes_lightbulb_red
Test your KnowledgeTake a Quiz!