Zwerchfellhernie
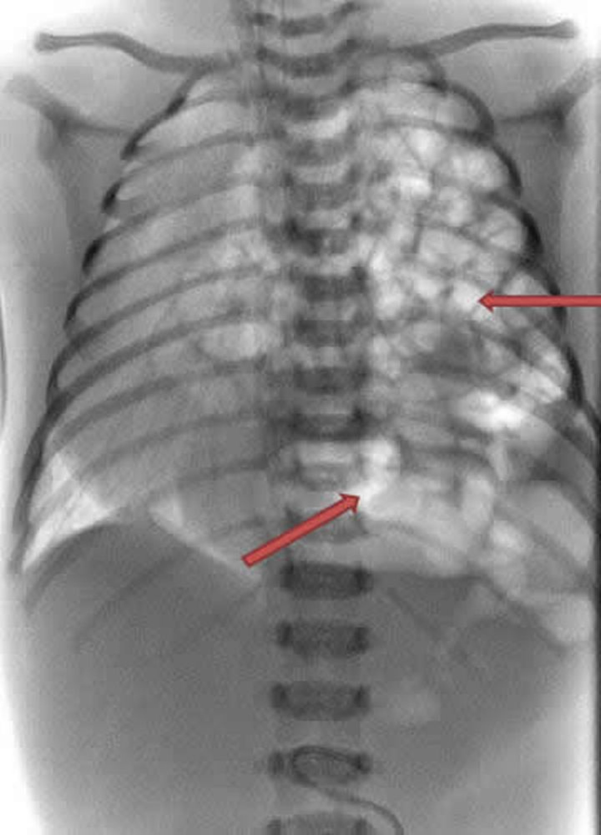
Auf dieser Röntgenaufnahme eines Neugeborenen ist zu sehen, wie der Darm (weiße Schlaufen) in die linke Seite des Brustraums hineinragen (Pfeile).
DU CANE MEDICAL IMAGING LTD/SCIENCE PHOTO LIBRARY
In diesen Themen
Auf dieser Röntgenaufnahme eines Neugeborenen ist zu sehen, wie der Darm (weiße Schlaufen) in die linke Seite des Brustraums hineinragen (Pfeile).
DU CANE MEDICAL IMAGING LTD/SCIENCE PHOTO LIBRARY