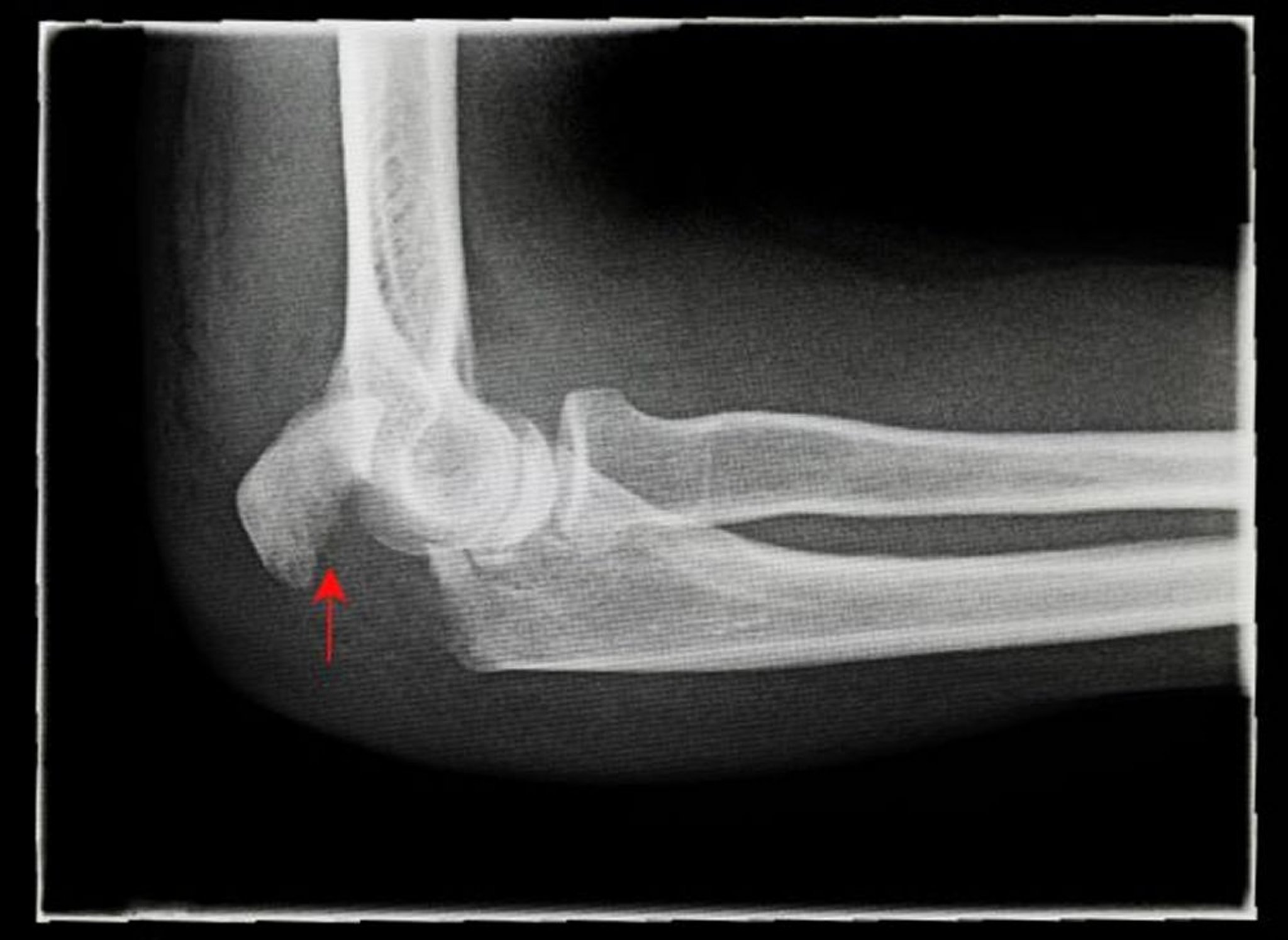
Verschobene Olekranon-Fraktur
Auf dieser Röntgenaufnahme ist eine seitliche (laterale) Ansicht einer verschobenen Olekranonfraktur (Pfeil) zu sehen.
ANTONIA REEVE/SCIENCE PHOTO LIBRARY
In diesen Themen
Auf dieser Röntgenaufnahme ist eine seitliche (laterale) Ansicht einer verschobenen Olekranonfraktur (Pfeil) zu sehen.
ANTONIA REEVE/SCIENCE PHOTO LIBRARY