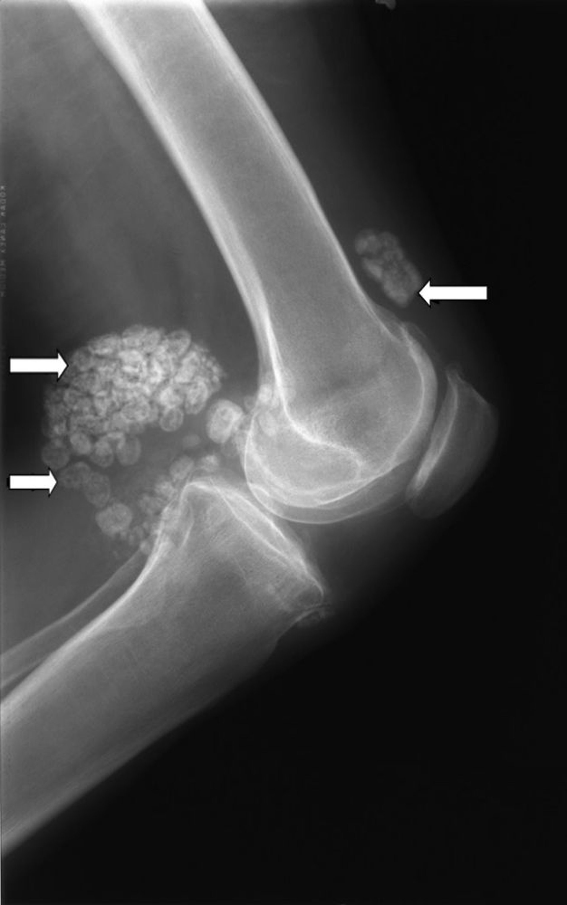
Synoviale Chondromatose
Auf dieser Röntgenaufnahme eines Knies sind mehrere Klumpen mit Knorpelgewebe zu sehen (Pfeile), wobei es sich um eine sogenannte synoviale Chondromatose handelt.
Bild mit freundlicher Genehmigung von Dr. med. Michael J. Joyce und Dr. med. Hakan Ilaslan.
In diesen Themen
