Pusteln
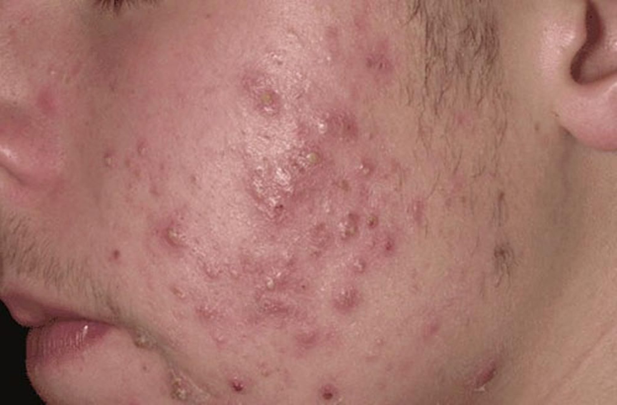
Pusteln sind erhabene Flecken, gewöhnlich mit gelber Spitze, die Eiter enthalten. Bei einer Person mit Akne sind im Gesicht verstreute Pusteln vorhanden.
Foto von Thomas Habif, MD.
In diesen Themen
Pusteln sind erhabene Flecken, gewöhnlich mit gelber Spitze, die Eiter enthalten. Bei einer Person mit Akne sind im Gesicht verstreute Pusteln vorhanden.
Foto von Thomas Habif, MD.