Hyphaema
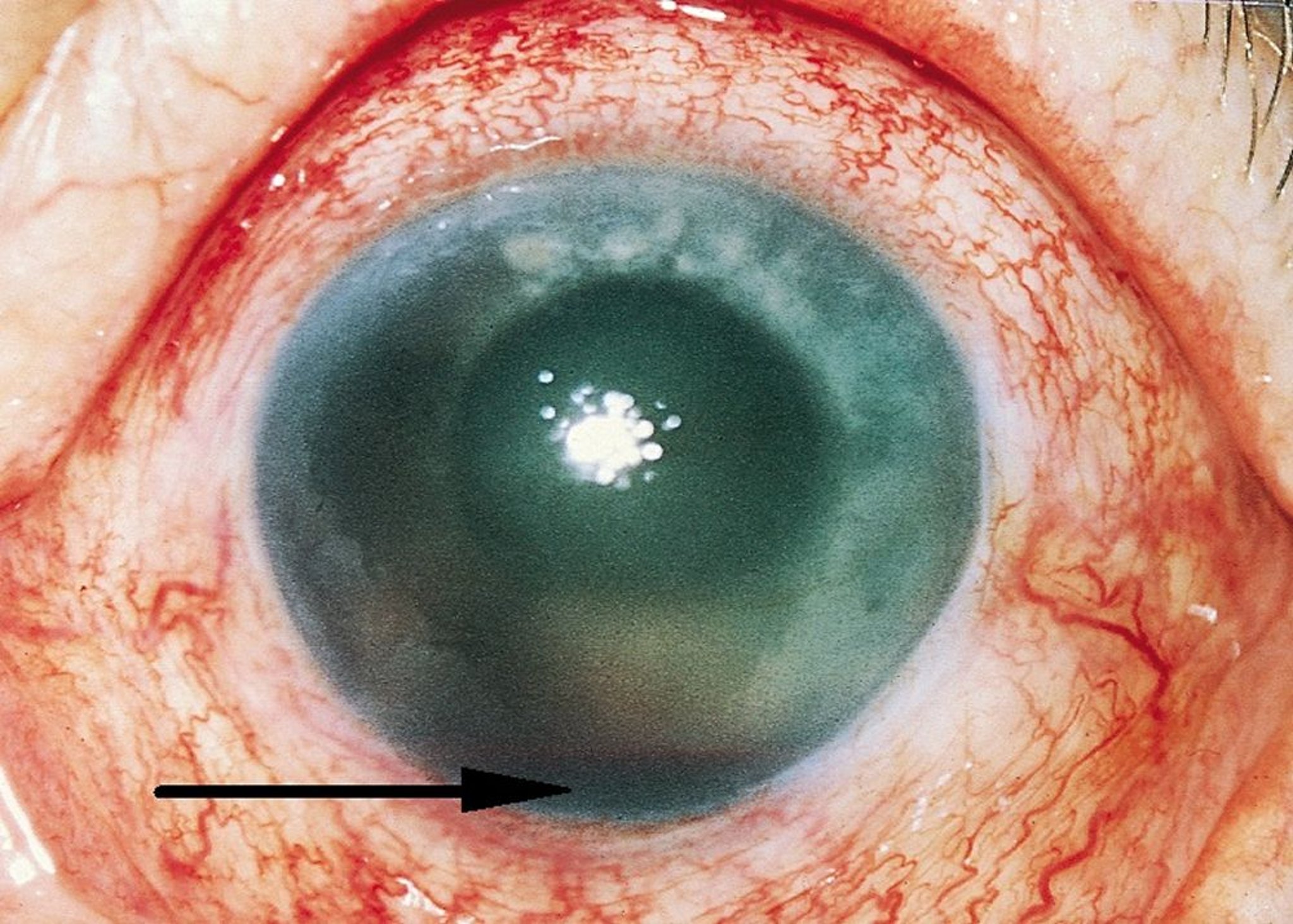
Diese Person hat ein Hyphäma (Pfeil) und eine Rötung der dünnen Schleimhaut, die die Hornhaut bedeckt (Bindehaut).
© Springer Science+Business Media
In diesen Themen
Diese Person hat ein Hyphäma (Pfeil) und eine Rötung der dünnen Schleimhaut, die die Hornhaut bedeckt (Bindehaut).
© Springer Science+Business Media