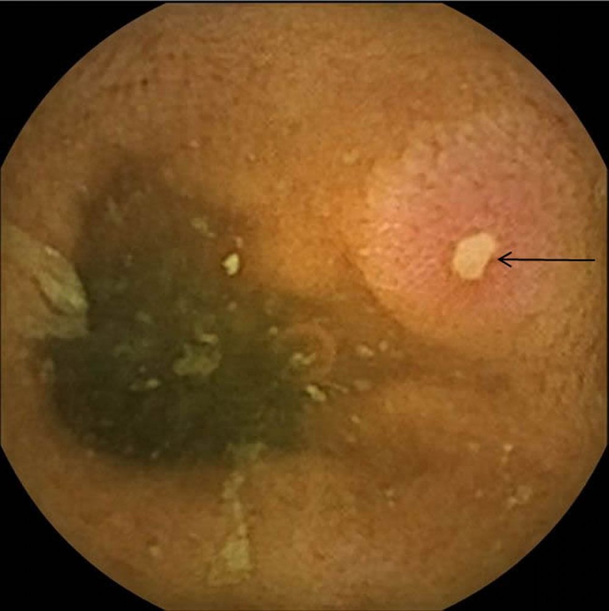
Geschwür bei Morbus Crohn
Dieses Foto zeigt ein kleines Geschwür (Pfeil) im Darm aufgrund von Morbus Crohn.
Foto mit freundlicher Genehmigung von Dr. Aaron E. Walfish und Dr. Rafael A. Ching Companioni.
In diesen Themen
Dieses Foto zeigt ein kleines Geschwür (Pfeil) im Darm aufgrund von Morbus Crohn.
Foto mit freundlicher Genehmigung von Dr. Aaron E. Walfish und Dr. Rafael A. Ching Companioni.