Fehlbiss
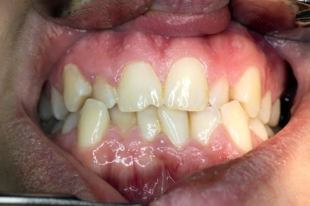
Die oberen und unteren Zähne sind fehlgerichtet, wenn der Kiefer geschlossen ist.
DR. ARMEN TARANYAN / SCIENCE PHOTO LIBRARY
In diesen Themen
Die oberen und unteren Zähne sind fehlgerichtet, wenn der Kiefer geschlossen ist.
DR. ARMEN TARANYAN / SCIENCE PHOTO LIBRARY