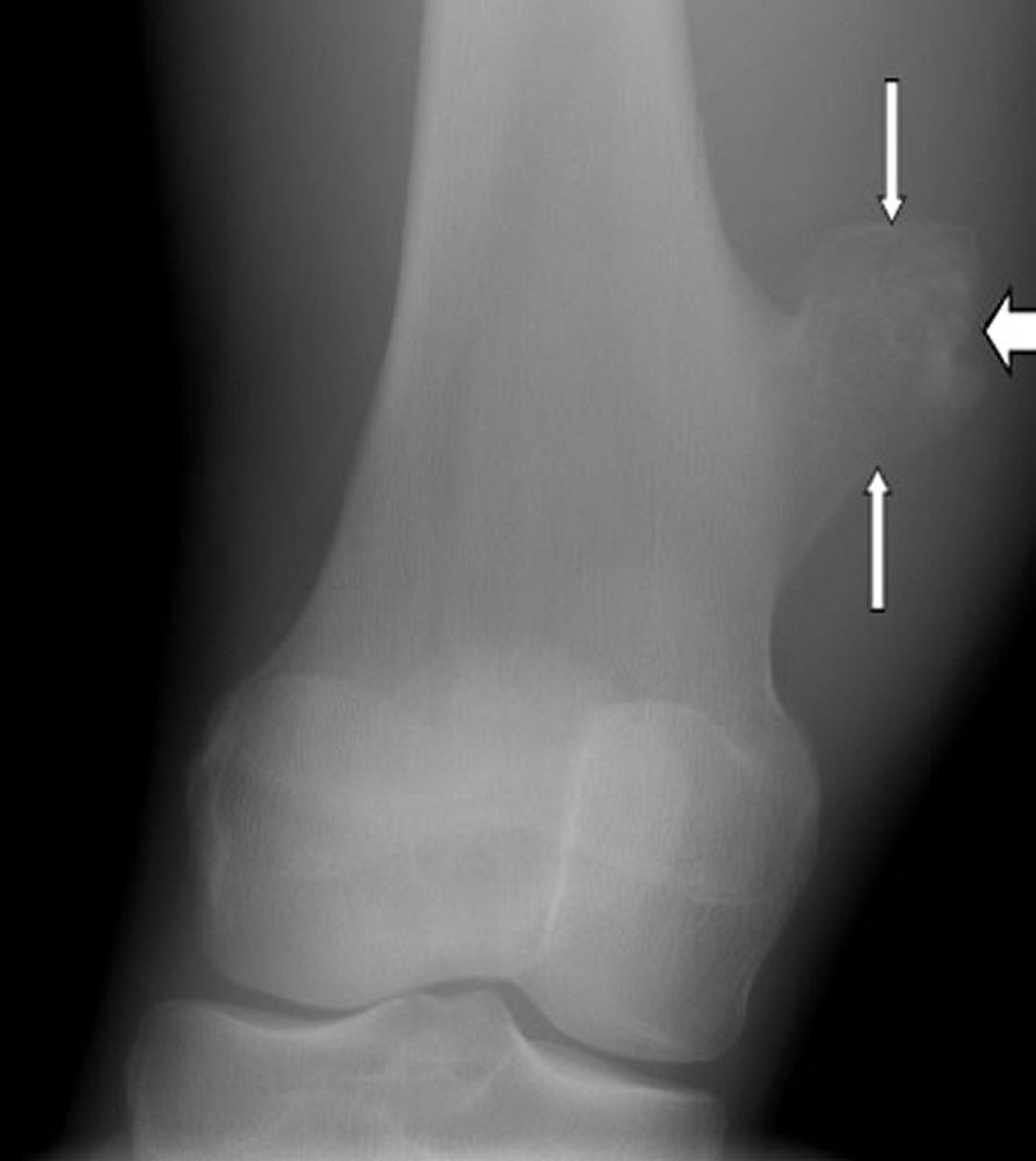
ورم عظمي غضروفي في الركبة
تُظهر هذه الصورة للركبة ورمًا عظميًا غضروفيًا، وهو نمو على سطح عظم الفخذ (اتجاه السهم) فوق مفصل الركبة.
جرى استخدام الصورة بعد موافقة أصحابها Michael J.Joyce, MD, and Hakan Ilaslan, MD.
في هذه الموضوعات
تُظهر هذه الصورة للركبة ورمًا عظميًا غضروفيًا، وهو نمو على سطح عظم الفخذ (اتجاه السهم) فوق مفصل الركبة.
جرى استخدام الصورة بعد موافقة أصحابها Michael J.Joyce, MD, and Hakan Ilaslan, MD.