honeypot link
skip to main content
MSDأدلة MSDإصدار المُستخدِم
موضوعات صحية الحياة الصحيةالأعراضالحالات الطارئةالمواردالتعليقحول
homeموضوعات صحية الحياة الصحية
Search icon
  1. <الصور
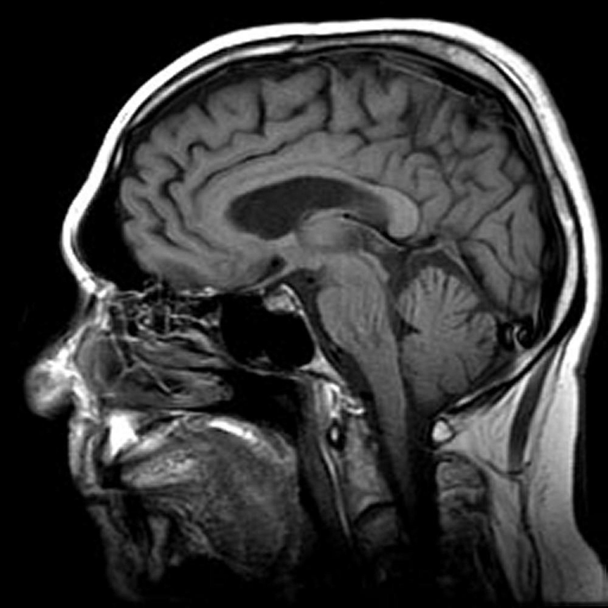
    صورة بالرنين المغناطيسي للدماغ

    صورة بالرنين المغناطيسي للدماغ

    Image provided by Jon A.Jacobson, MD.

    في هذه الموضوعات
    • التصويرُ بالرنين المغناطيسي >
    • حقائق سريعة: التصويرُ بالرنين المغناطيسي (MRI) >
    MSD
    • حول
    • إخلاء المسؤولية
    • التصاريح
    • الخصوصية
    • شروط الاستخدام
    • الترخيص
    • تواصل معنا
    • دليل الأطباء البيطريين
    MSD

    محفوظة لشركة© 2026محفوظة لشركة Merck & Co., Inc., Rahway, NJ, USA والشركات التابعة لها. جميع الحقوق محفوظة.