ساركومة يُوينغ العظمية
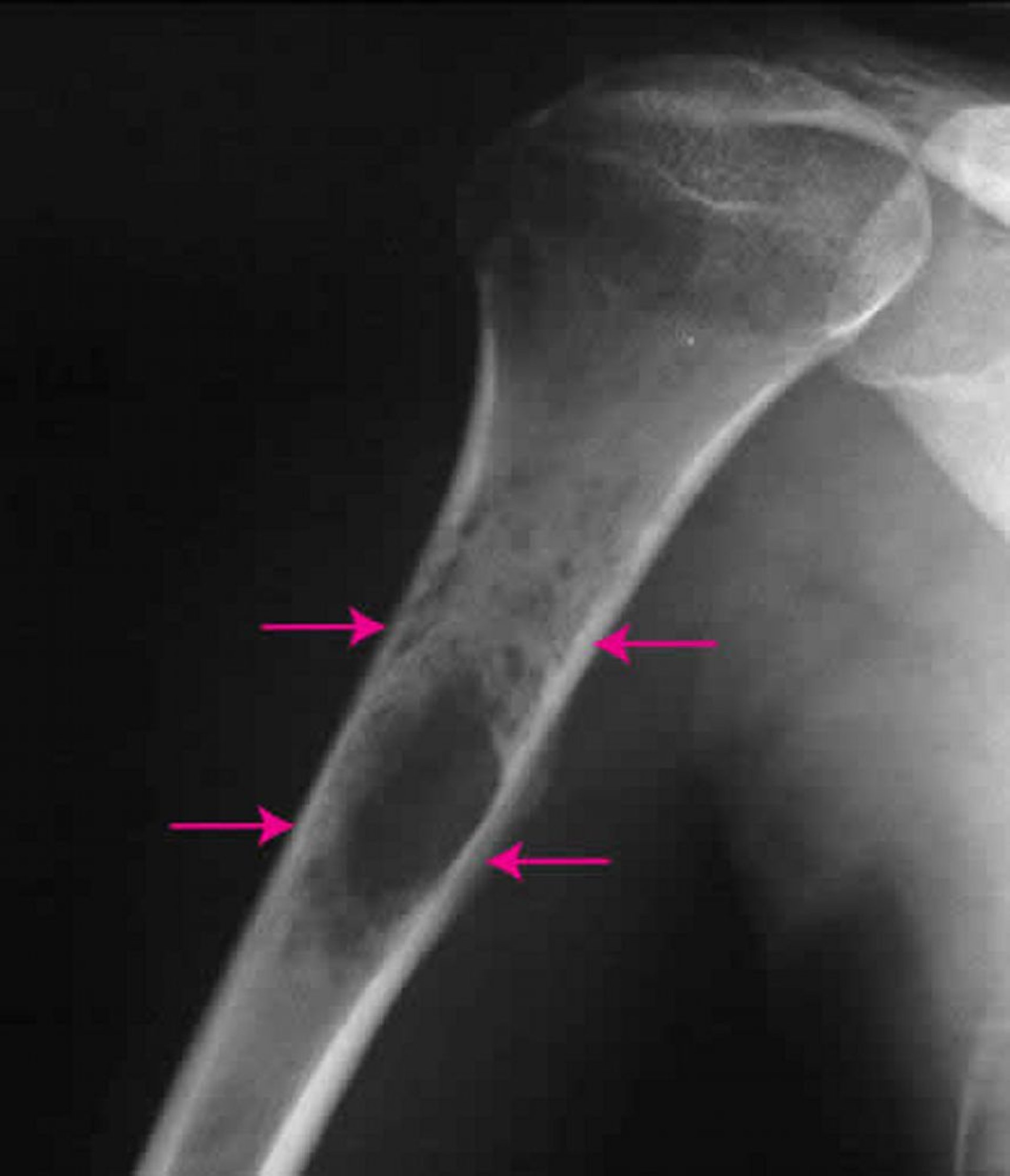
تُظهر هذه الصورة الشعاعية للكتف كيسة يوينغ العظمية (اتجاه الأسهم) في عظم العضد.
جرى استخدام الصورة بعد موافقة أصحابها Michael J.Joyce, MD, and Hakan Ilaslan, MD.
في هذه الموضوعات
تُظهر هذه الصورة الشعاعية للكتف كيسة يوينغ العظمية (اتجاه الأسهم) في عظم العضد.
جرى استخدام الصورة بعد موافقة أصحابها Michael J.Joyce, MD, and Hakan Ilaslan, MD.