الساركومة العظمية
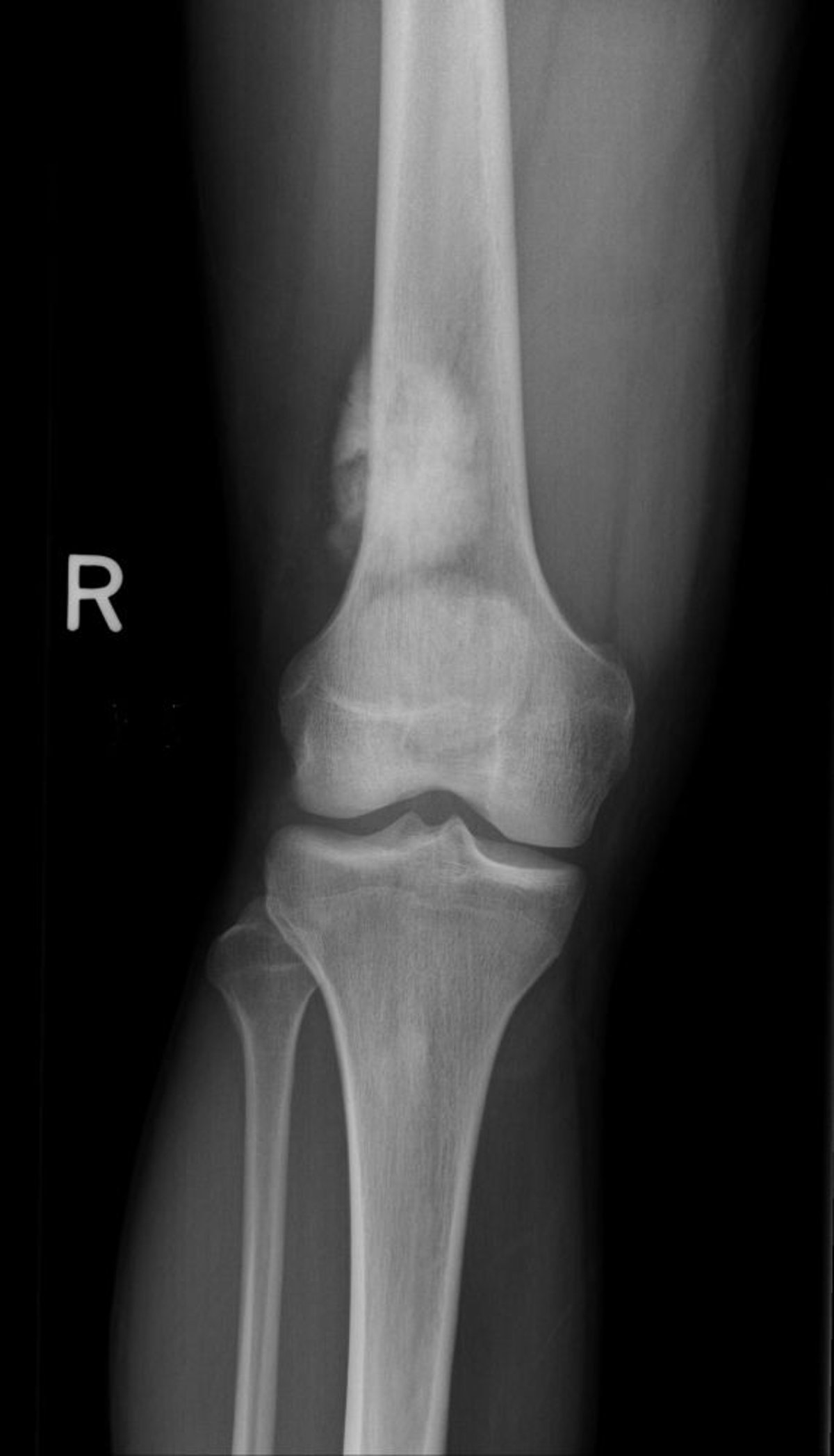
تُظهر هذه الصورة الشعاعية للركبة وجود ساركومة عظمية في عظم الفخذ فوق مستوى الركبة.
جرى استخدام الصورة بعد موافقة أصحابها Michael J.Joyce, MD, and Hakan Ilaslan, MD.
في هذه الموضوعات
تُظهر هذه الصورة الشعاعية للركبة وجود ساركومة عظمية في عظم الفخذ فوق مستوى الركبة.
جرى استخدام الصورة بعد موافقة أصحابها Michael J.Joyce, MD, and Hakan Ilaslan, MD.