Bệnh Kienböck là tình trạng hoại tử vô mạch của xương nguyệt. Các triệu chứng bao gồm đau và tăng cảm giác đau ở cổ tay. Chẩn đoán dựa vào chẩn đoán hình ảnh. Điều trị bằng các phương pháp phẫu thuật khác nhau.
(Xem thêm Tổng quan và đánh giá các bệnh lý bàn tay.)
Bệnh Kienböck xảy ra phổ biến nhất ở tay thuận của nam giới từ 20 đến 45 tuổi, thường là ở những người làm việc chân tay nặng nhọc. Nhìn chung, bệnh Kienböck là tương đối hiếm. Không rõ nguyên nhân. Hậu quả dẫn đến xương nguyệt có thể bị gãy và làm cho xương thuyền chuyển động xoay quanh nó và thoái hóa thứ phát khớp cổ tay.
Triệu chứng và dấu hiệu bệnh Kienböck
Các triệu chứng của bệnh Kienböck khởi đầu bằng đau nhẹ ở cổ tay, khu trú ở vùng xương nguyệt cổ tay, bệnh nhân không có chấn thương nào trước đó. Bệnh Kienböck ở cả hai bên gặp ở 10% trường hợp. Ấn đau tăng khu trú tại vị trí xương nguyệt, thường gặp nhất ở trên đường giữa phía mu cổ tay. Có thể sưng nhẹ.
Chẩn đoán bệnh Kienböck
Chẩn đoán hình ảnh
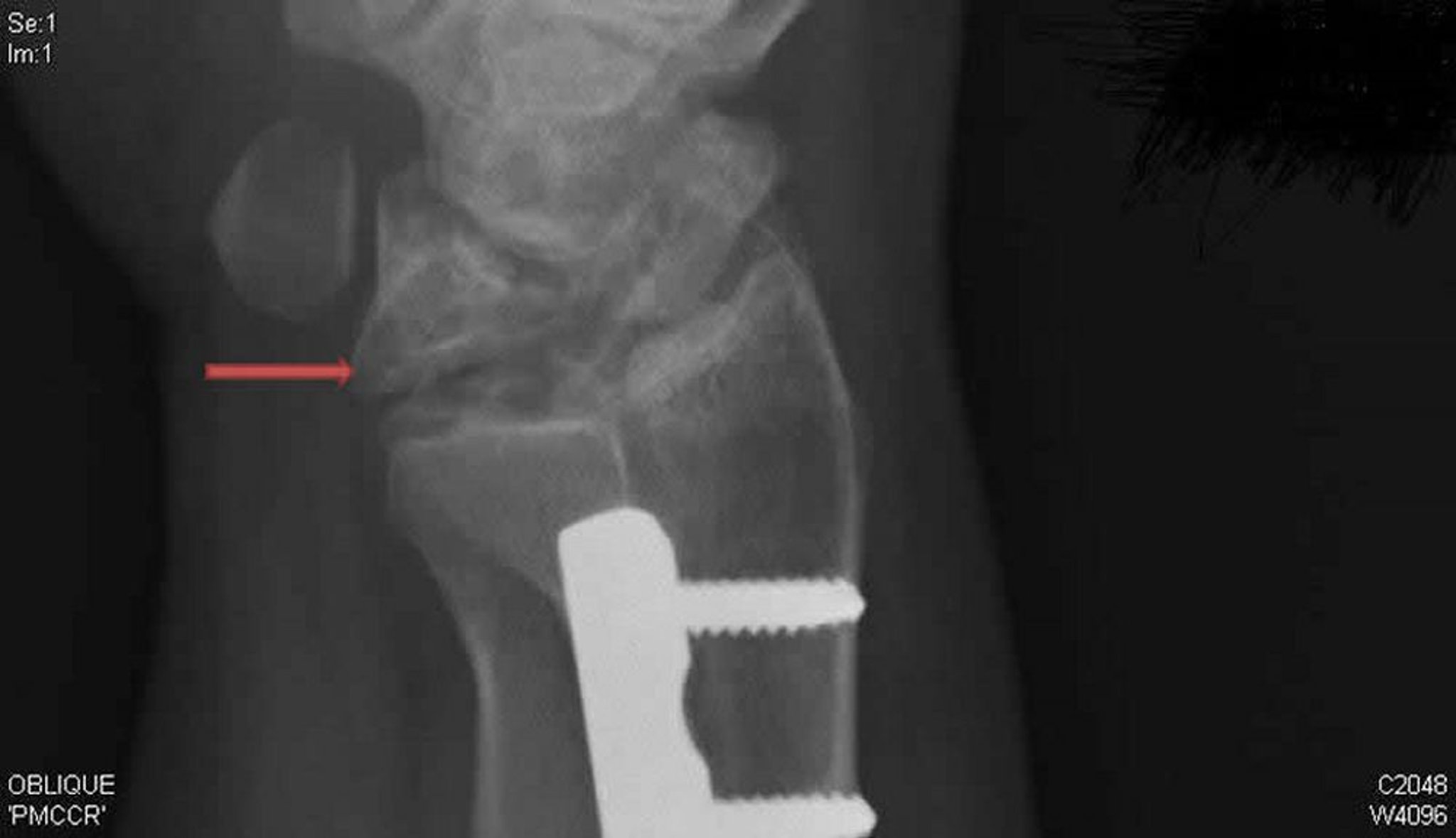
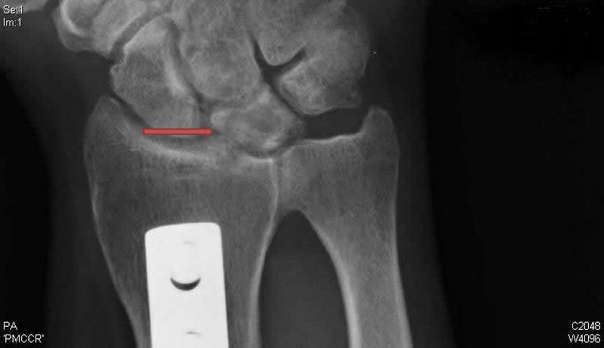
Để chẩn đoán bệnh Kienböck, chụp MRI và chụp CT là nhạy nhất; X-quang cho thấy những bất thường muộn hơn, thường bắt đầu bằng xơ cứng xương nguyệt, sau đó là các nang thay đổi, phân mảnh và xẹp.
Phim chụp X-quang do bác sĩ David R. Steinberg cung cấp
Phim chụp X-quang do bác sĩ David R. Steinberg cung cấp
Chẩn đoán phân biệt đau giữa mu cổ tay bao gồm hạch mặt mu cổ tay, viêm màng hoạt dịch hoặc viêm khớp, hoặc viêm gân cơ duỗi.
Điều trị bệnh Kienböck
Nẹp cổ tay và thuốc giảm đau giai đoạn đầu
Thủ thuật phẫu thuật
Trong giai đoạn đầu của bệnh Kienböck, nẹp cổ tay có thể làm giảm áp lực lên xương nguyệt, giảm đau và có thể giúp khôi phục lưu lượng máu. Thuốc giảm đau được đưa ra để giảm đau.
Điều trị bệnh Kienböck nhằm giảm áp lực lên xương nguyệt bằng cách làm ngắn xương quay (1) hoặc kéo dài xương trụ. Các phương pháp điều trị thay thế được thực hiện nhằm cố gắng tái thông mạch máu may mắn một cách trực tiếp (ví dụ: cấy ghép mạch máu hoặc ghép xương trên cuống mạch máu) hoặc gián tiếp (ví dụ: giảm áp lực lõi của xương quay) (2, 3). Đối với thương tổn sâu hơn của xương nguyệt, một số bác sĩ phẫu thuật đã cố gắng bảo tồn xương này bằng cách sử dụng các mảnh ghép xương không có mạch máu từ đầu gối (4).
Các giải pháp tình thế (ví dụ, phẫu thuật cắt bỏ hàng xương đầu gần khớp cổ tay hoặc gắn cứng các xương khớp cổ tay) có thể giúp bảo tồn một số chức năng của cổ tay nếu khớp cổ tay bị thoái hóa.
Thủ thuật đóng cứng khớp cổ tay hoàn toàn có thể được thực hiện như một biện pháp cuối cùng để giảm đau. Điều trị không phẫu thuật là không có hiệu quả.
Tài liệu tham khảo về điều trị
1. Shin YH, Kim JK, Han M, et al: Comparison of long-term outcomes of radial osteotomy and nonoperative treatment for Kienböck disease: a systematic review. J Bone Joint Surg Br 100(14):1231–1240, 2018. doi: 10.2106/JBJS.17.00764.
2. Afshar A, Eivaziatashbeik K: Long-term clinical and radiological outcomes of radial shortening osteotomy and vascularized bone graft in Kienböck disease. J Hand Surg Am 38(2):289-296, 2013. doi: 10.1016/j.jhsa.2012.11.016.
3. Illarramendi AA, De Carli P: Radius decompression for treatment of kienböck disease. Tech Hand Up Extrem Surg. 2003;7(3):110-113. doi:10.1097/00130911-200309000-00007
4. Bürger HK, Windhofer C, Gaggl AJ, et al: Vascularized medial femoral trochlea osteochondral flap reconstruction of advanced Kienböck disease. J Hand Surg Am 39(7):1313-1322, 2014. doi: 10.1016/j.jhsa.2014.03.040.
