Tràn khí trung thất

TheoNajib M Rahman, BMBCh MA (oxon) DPhil, University of Oxford
Xem xét bởiRichard K. Albert, MD, Department of Medicine, University of Colorado Denver - Anschutz Medical
Đã xem xét/Đã chỉnh sửa đã sửa đổi Thg 7 2025
v923118_vi

Tràn khí trung thất là khí ở trong khoảng kẽ của trung thất.

Nguyên nhân chính gây tràn khí trung thất là:

  • Vỡ phế nang với sự giải phóng không khí vào khoảng kẽ của phổi với sự dịch chuyển đến trung thất

  • Thủng thực quản

  • Vết rách thực quản hoặc ruột với sự giải phóng không khí từ cổ hoặc bụng vào trung thất

Tràn khí trung thất áp lực kèm theo chèn ép các cấu trúc trung thất là hiếm gặp.

Triệu chứng đầu tiên là đau ngực phía sau xương ức, đôi khi có thể trầm trọng.

Thăm khám có thể cho thấy tình trạng tràn khí dưới da, thường là ở góc trên xương ức, cùng với tiếng lạo xạo hoặc lách tách đồng bộ với nhịp tim; tiếng này được nghe tốt nhất phia trên tim khi bệnh nhân ở vị trí nằm nghiêng trái (dấu Hamman).

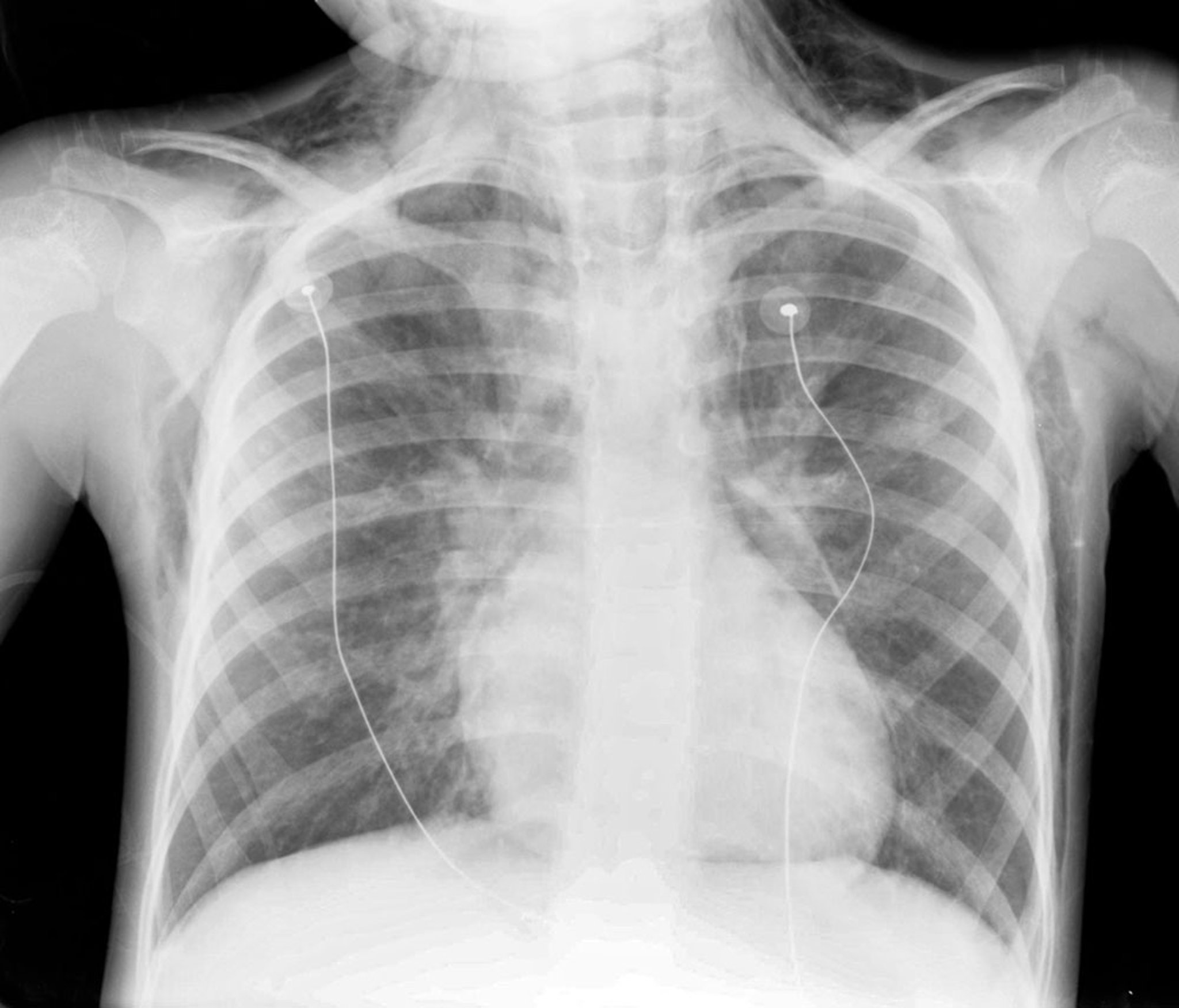
Chẩn đoán được xác nhận bằng phim chụp X-quang ngực, cho thấy có khí ở trung thất.

Nguyên nhân gây tràn khí trung thất phải được xác định để loại trừ thủng thực quản, tình trạng này cần phải nhập viện và điều trị.

Ngọc trai & cạm bẫy

  • Mặc dù tràn khí trung thất có thể gây ra những dấu hiệu đáng chú ý khi khám và/hoặc trên phim chụp X-quang và có thể chỉ ra một bệnh nghiêm trọng, nhưng việc điều trị tràn khí trung thất thường không cần thiết.

Điều trị tràn khí trung thất

  • Thông thường không cần thiết

Điều trị thường không cần thiết, mặc dù tràn khí trung thất áp lực kèm theo chèn ép các cấu trúc trung thất có thể được cải thiện bằng cách chọc hút bằng kim, để kim thông với khí quyển như được thực hiện với tràn khí màng phổi áp lực.

Nhập viện là cần thiết nếu tràn khí trung thất là thứ phát do vỡ thực quản hoặc ruột, nhưng không nhất thiết nếu vỡ phế nang thứ phát.

quizzes_lightbulb_red
Test your KnowledgeTake a Quiz!