Xuất huyết dưới nhện
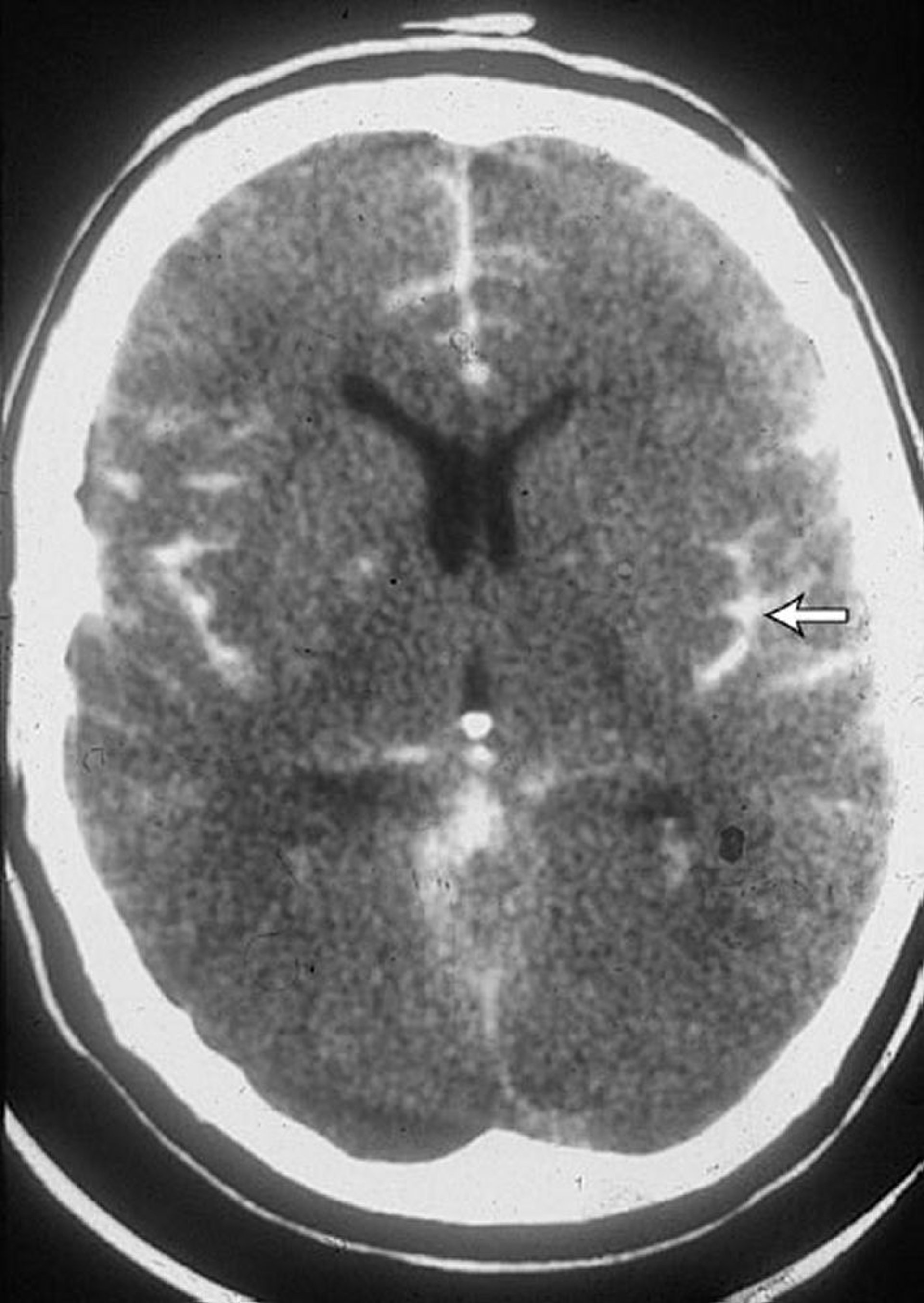
CT scan ở một bệnh nhân bị xuất huyết dưới nhện cho thấy máu trong các rãnh cuộn não (mũi tên). Máu cũng thường thấy trong não thất.
Được sự cho phép của nhà xuất bản. Theo Lenaerts M, Couch J. Trong Atlas of Clinical Neurology. Biên tập bởi RN Rosenberg. Philadelphia, Current Medicine, 2002.
Trong các chủ đề này
