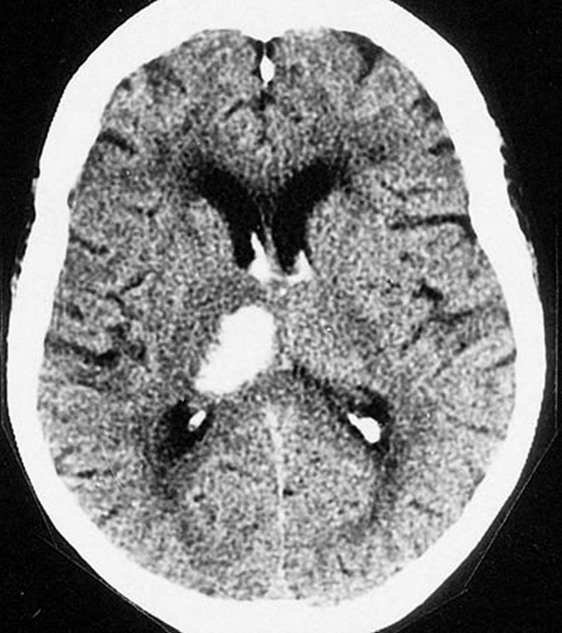
Xuất huyết trong não vùng đồi thị
Phim chụp CT này cho thấy xuất huyết ở đồi thị. Xuất huyết nội sọ thường xảy ra ở đồi thị và trong hạch nền.
Được sự cho phép của nhà xuất bản. Theo Furie K và cộng sự. Trong Atlas of Clinical Neurology. Biên tập bởi RN Rosenberg. Philadelphia, Current Medicine, 2002.
Trong các chủ đề này
