Viêm cột sống dính khớp
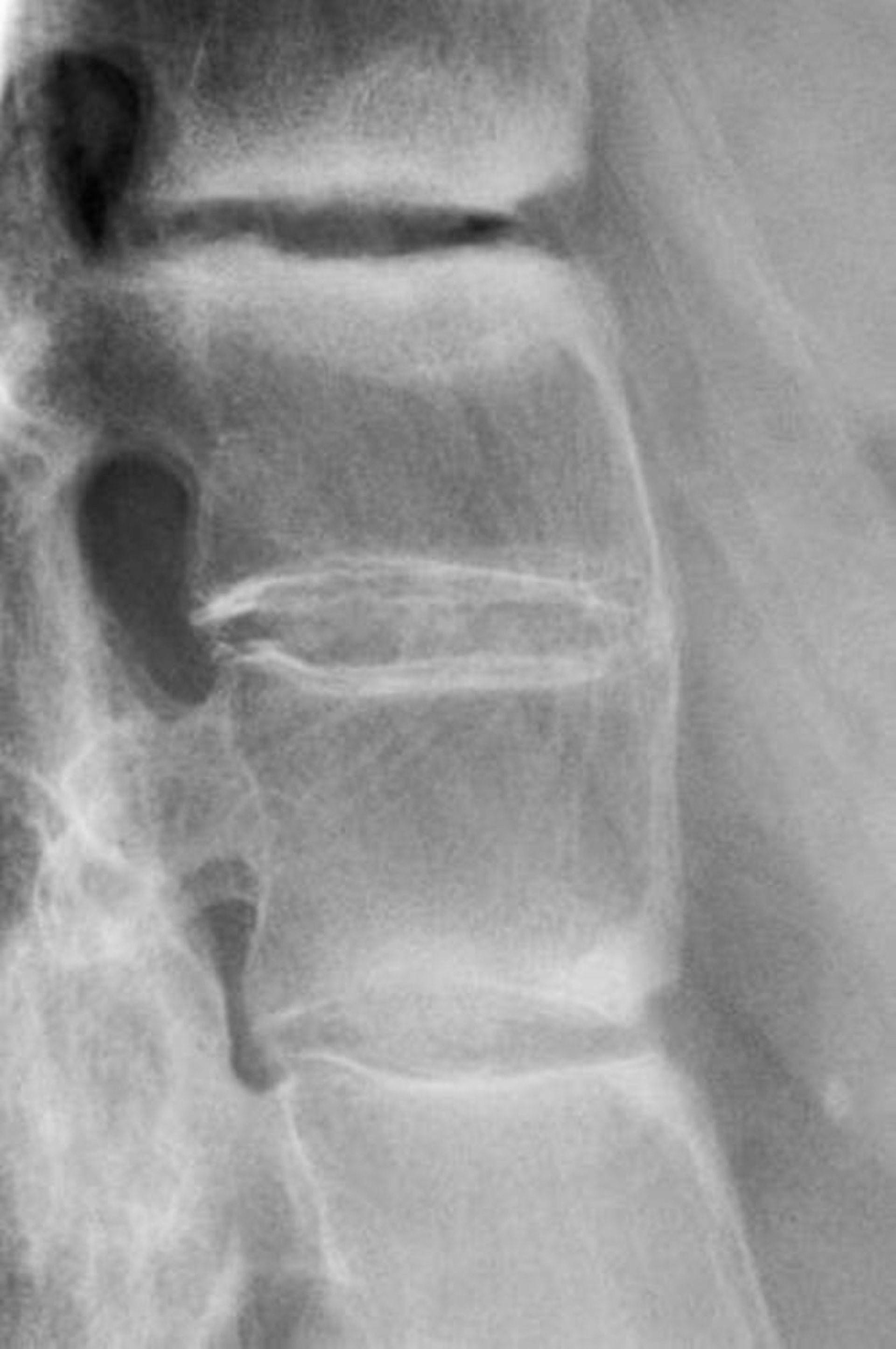
Phim X-quang này cho thấy xơ cứng giữa các đốt sống thắt lưng, mất độ ưỡn và dính các đốt sống thắt lưng, một dấu hiệu cho thấy viêm cột sống dính khớp giai đoạn tiến triển.
BÁC SĨ P. MARAZZI/THƯ VIỆN HÌNH ẢNH KHOA HỌC
Trong các chủ đề này
