Viêm xoang do Ethmoid với áp xe dưới màng cứng
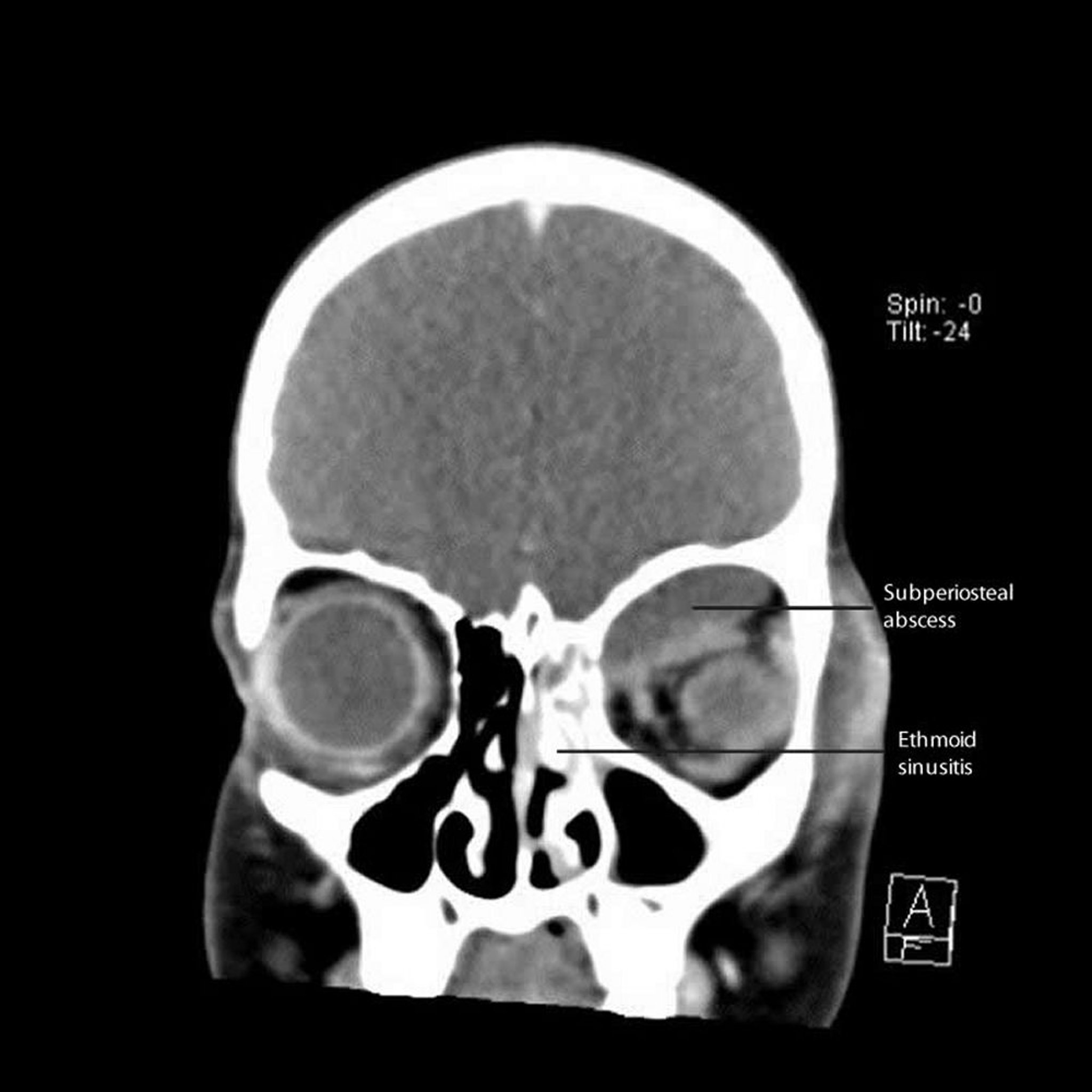
CT này cho thấy một viêm xoang sàng trái với áp xe dưới sụn lân cận dọc theo thành giữa và mái của hốc mắt.
CT do bác sĩ James Garrity cung cấp.
Trong các chủ đề này
CT này cho thấy một viêm xoang sàng trái với áp xe dưới sụn lân cận dọc theo thành giữa và mái của hốc mắt.
CT do bác sĩ James Garrity cung cấp.