Viêm tai giữa cấp
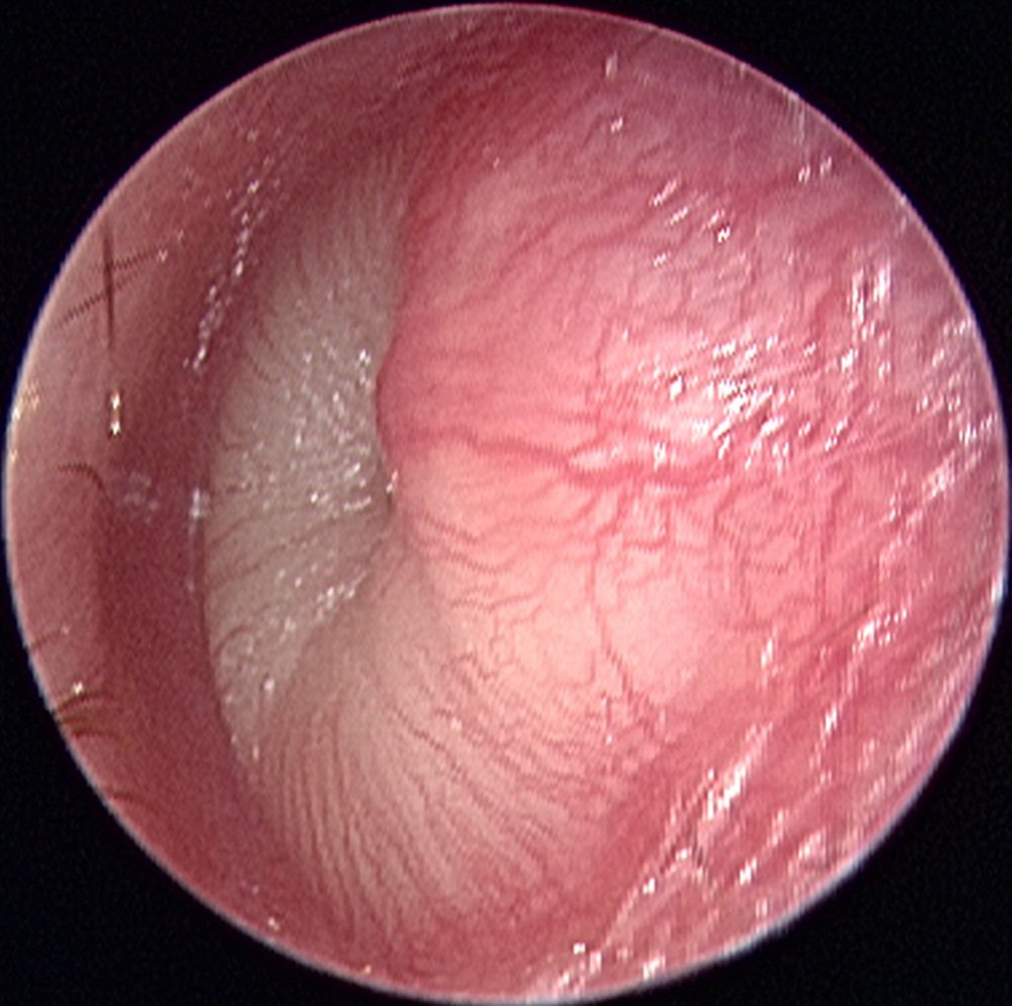
Màng nhĩ trái trong viêm tai giữa cấp (đáy) phồng lên, ban đỏ và có các điểm mốc không rõ ràng, bị che lấp do màng nhĩ căng phồng.
© Springer Science+Business Media
Trong các chủ đề này
Màng nhĩ trái trong viêm tai giữa cấp (đáy) phồng lên, ban đỏ và có các điểm mốc không rõ ràng, bị che lấp do màng nhĩ căng phồng.
© Springer Science+Business Media