Viêm quanh răng
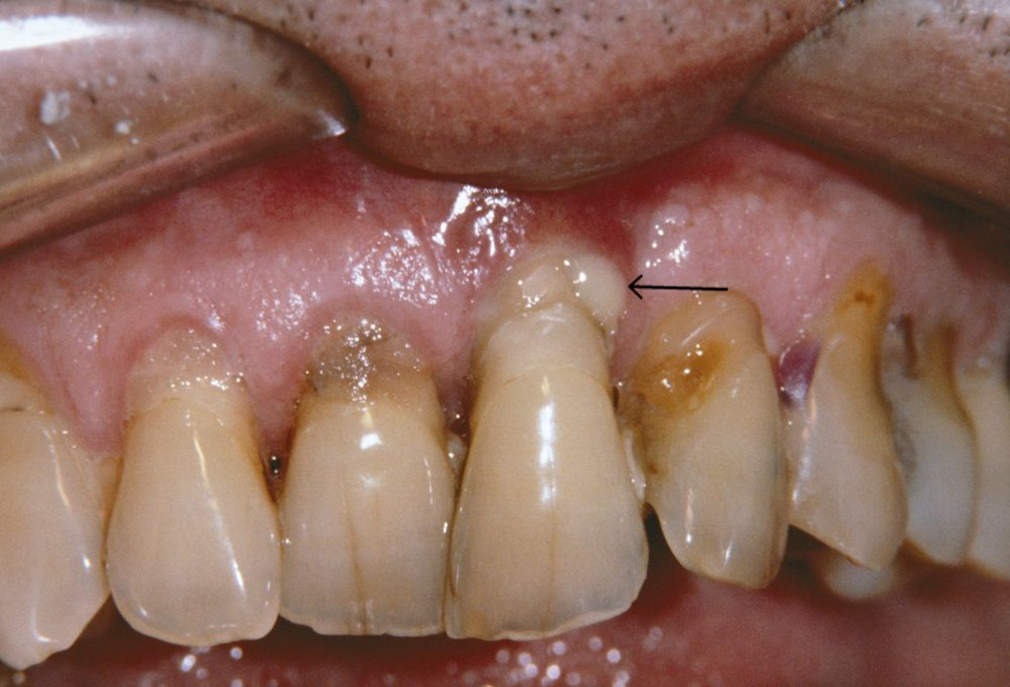
Ảnh này cho thấy nướu bị tụt và áp xe quanh răng (mũi tên) ở một người bị viêm quanh răng.
CNRI/THƯ VIỆN HÌNH ẢNH KHOA HỌC
Trong các chủ đề này
Ảnh này cho thấy nướu bị tụt và áp xe quanh răng (mũi tên) ở một người bị viêm quanh răng.
CNRI/THƯ VIỆN HÌNH ẢNH KHOA HỌC