Viêm lợi
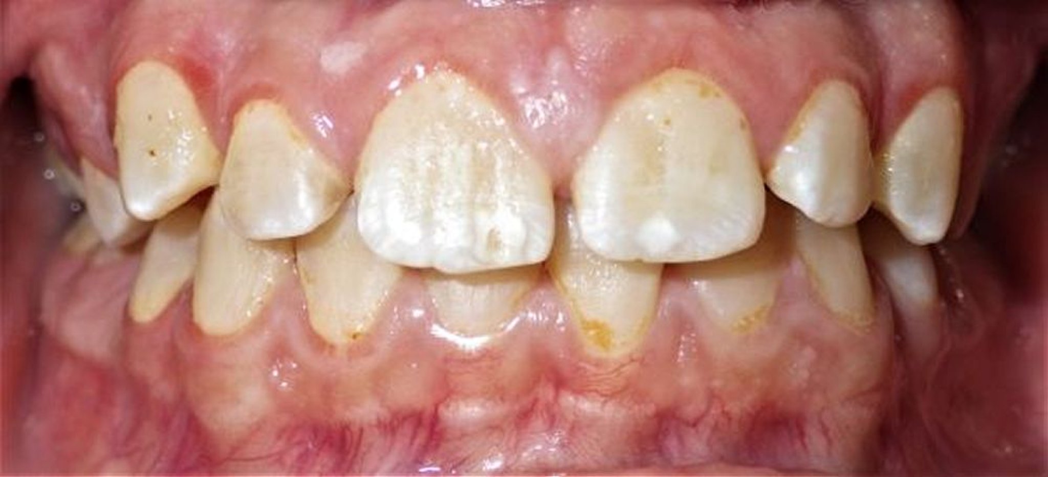
Hình ảnh viêm nướu ở người trẻ tuổi này cho thấy tình trạng viêm nướu ở bờ viền (gần răng nhất), sưng tấy các nhú kẽ răng và viêm dọc theo các răng nanh trên.
Hình ảnh do bác sĩ nha khoa James T. Ubertalli cung cấp.
Trong các chủ đề này
Hình ảnh viêm nướu ở người trẻ tuổi này cho thấy tình trạng viêm nướu ở bờ viền (gần răng nhất), sưng tấy các nhú kẽ răng và viêm dọc theo các răng nanh trên.
Hình ảnh do bác sĩ nha khoa James T. Ubertalli cung cấp.