Ung thư Cổ tử cung
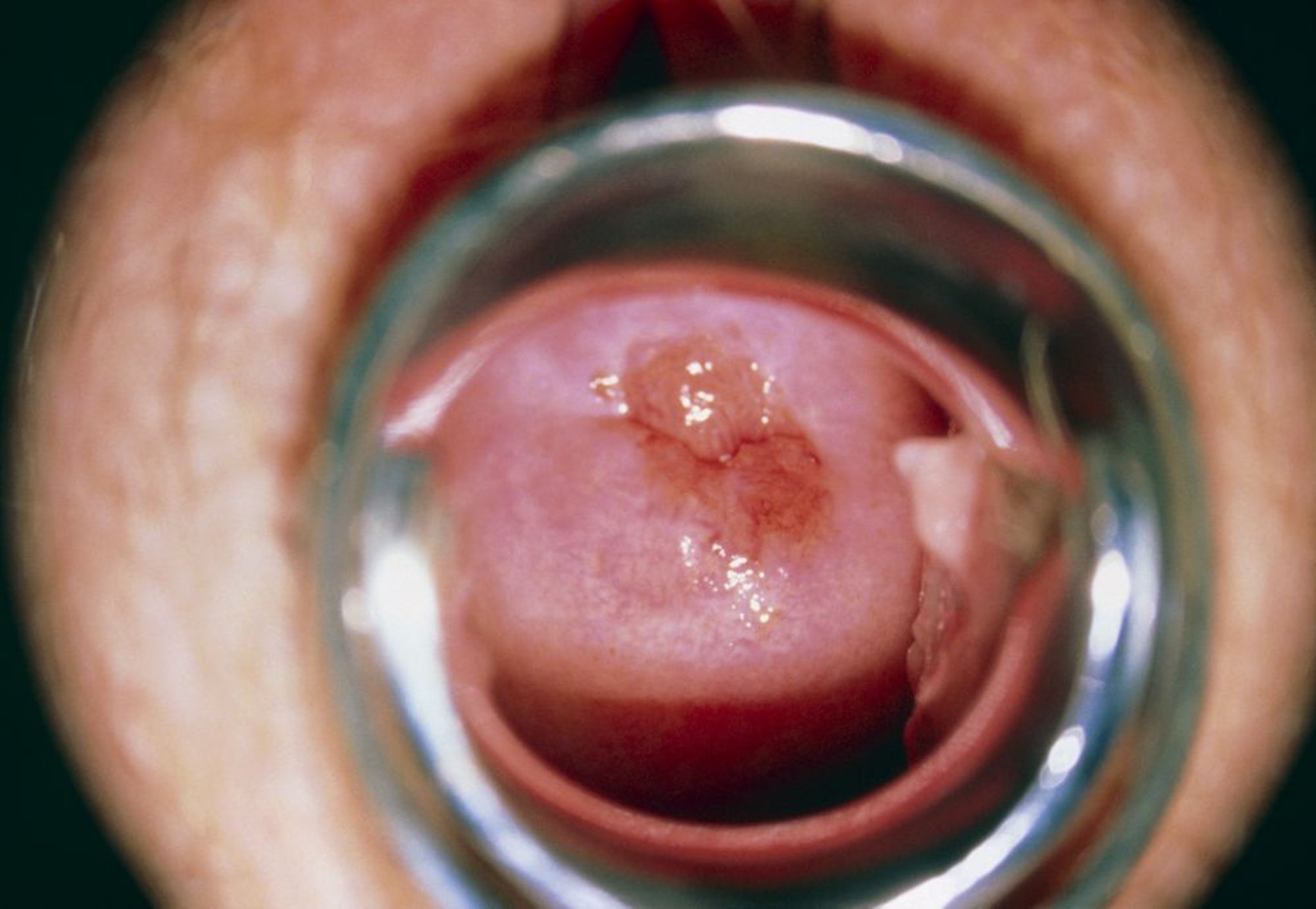
Soi cổ tử cung (giữa) ở bệnh nhân mắc bệnh tân sinh nội biểu mô cổ tử cung (CIN) 1. Khu vực tiền ung thư bị ảnh hưởng hơi sưng với một khu vực đổi màu xung quanh lỗ (lỗ cổ tử cung) ở trung tâm.
THƯ VIỆN HÌNH ẢNH KHOA HỌC
Trong các chủ đề này
