U trung biểu mô màng phổi
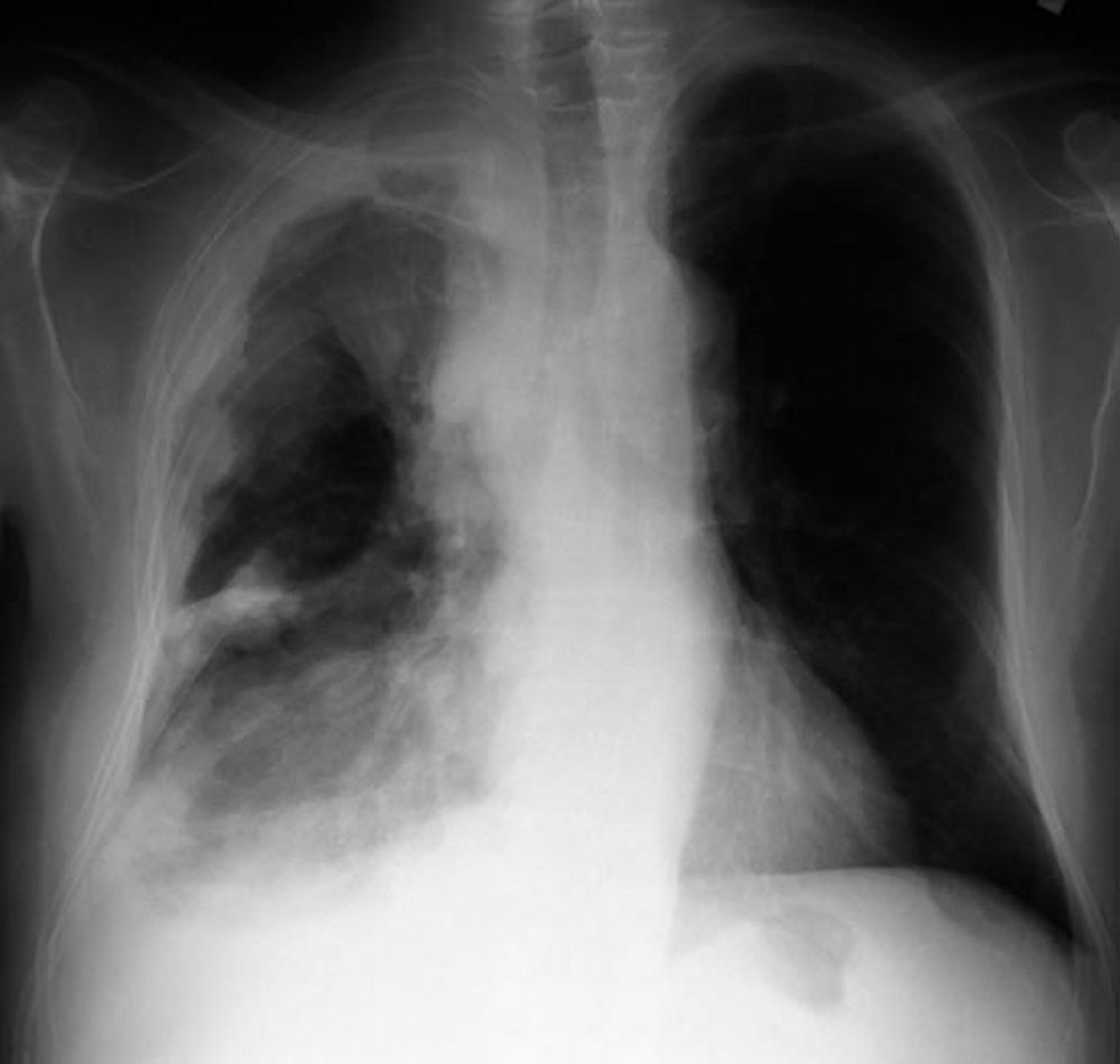
X-quang ngực ở một bệnh nhân ung thư trung biểu mô màng phổi cho thấy dày màng phổi với các khối nốt sần trên màng phổi.
Được sự cho phép của nhà xuất bản. Theo Huggins J, Sahn S. Trong Bone's Atlas of Pulmonary and Critical Care Medicine. Biên tập bởi J Crapo. Philadelphia, Current Medicine, 2005.
Trong các chủ đề này
