U thần kinh đệm ít nhánh, mức độ thấp
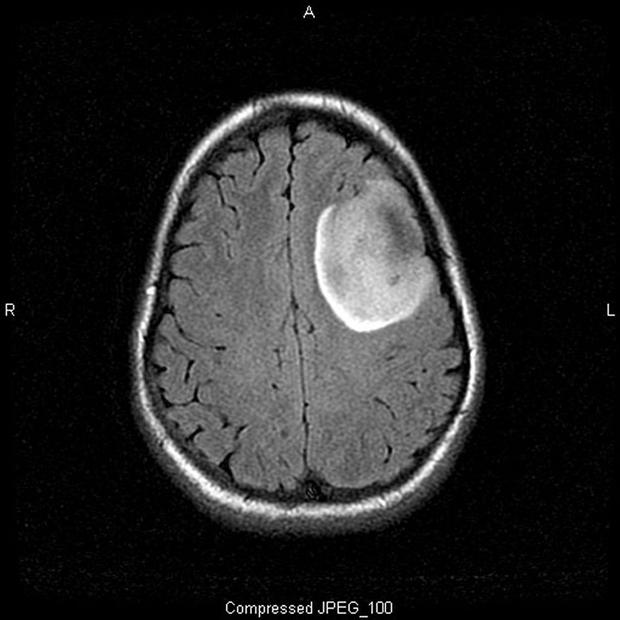
Phim chụp MRI T2-FLAIR (chuỗi xung xóa tín hiệu các dịch) này cho thấy một tín hiệu màu trắng, có thể cho biết một khối hoặc phù nề. Tín hiệu phía trước bên trái được phân định rõ ràng, gợi ý một khối lớn. Sử dụng chất cản quang không làm ngấm thuốc vùng đó. Đó là u thần kinh đệm ít nhánh mức độ thấp (độ II).
Hình ảnh do bác sĩ William R. Shapiro cung cấp
Trong các chủ đề này
