U sao bào giảm biệt hóa
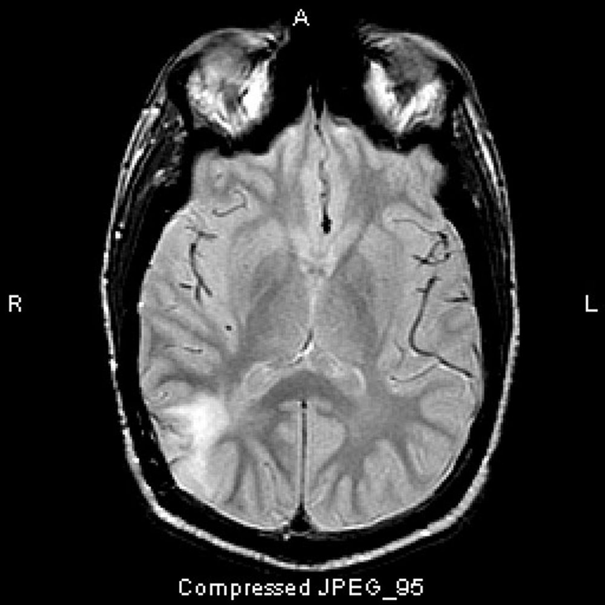
Hình chụp MRI T2-FLAIR này cho thấy tín hiệu màu trắng ở thùy thái dương sau. Tín hiệu không được tăng cường bởi chất tương phản. Đó là u sao bào giảm biệt hóa (độ III).
Hình ảnh do bác sĩ William R. Shapiro cung cấp
Trong các chủ đề này
