U nguyên bào thần kinh đệm
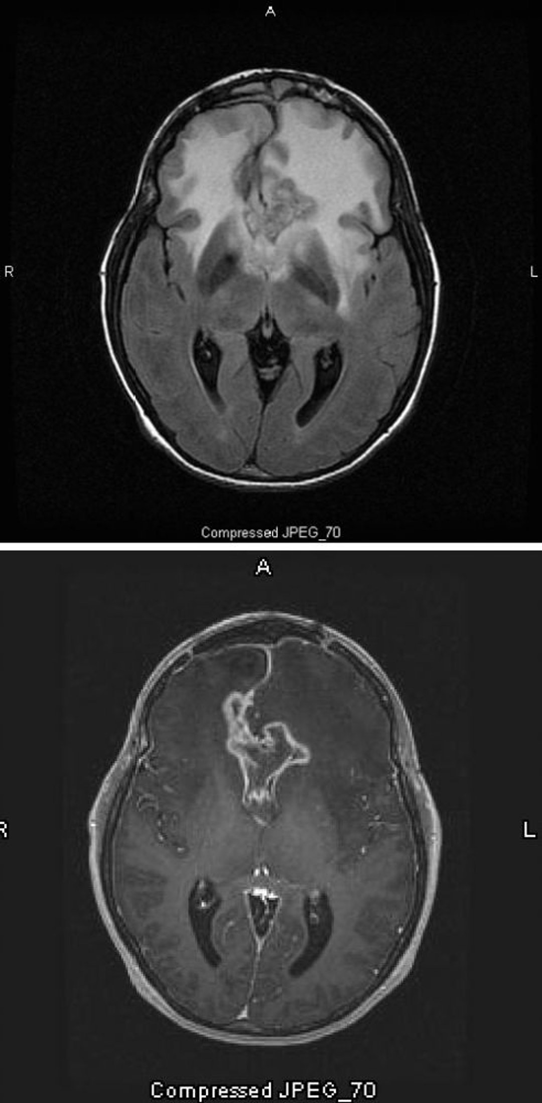
Phim chụp MRI T2-FLAIR (trên) cho thấy tín hiệu màu trắng lớn, hai bên (tăng mật độ) xung quanh u nguyên bào thần kinh đệm, đây là loại u sao bào ác tính nhất và mức độ cao nhất. U nguyên bào thần kinh đệm đặc biệt này được gọi là u thần kinh đệm dạng bướm vì tín hiệu màu trắng xung quanh khối u tạo thành cánh của con bướm; nó là do phù não. Trên hình ảnh chụp cắt lớp theo trọng số T1 (dưới), chất cản quang vạch ra rìa của khối u (ngấm thuốc hình vòng). Phù nề xuất hiện dưới dạng một vùng tối (giảm đậm âm) trên T1.
Hình ảnh do bác sĩ William R. Shapiro cung cấp
Trong các chủ đề này
