U máu thể hang
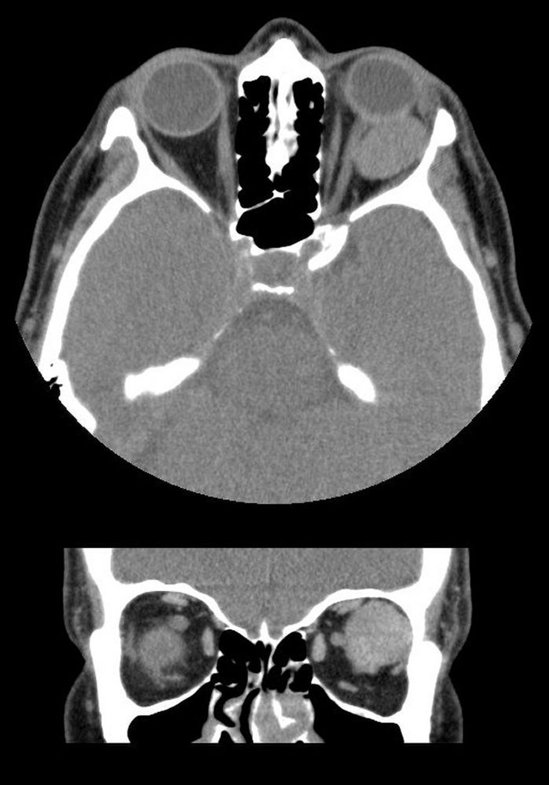
Trong hình ảnh này, chụp CT cắt lớp trục (trên) và xung quanh (dưới) cho thấy một khối nội tạng được phân chia rõ ràng phía sau quả cầu bên trái. Khối này là một dị dạng tĩnh mạch hang.
Hình ảnh do bác sĩ James Garrity cung cấp.
Trong các chủ đề này
