U màng não, cận đường dọc giữa
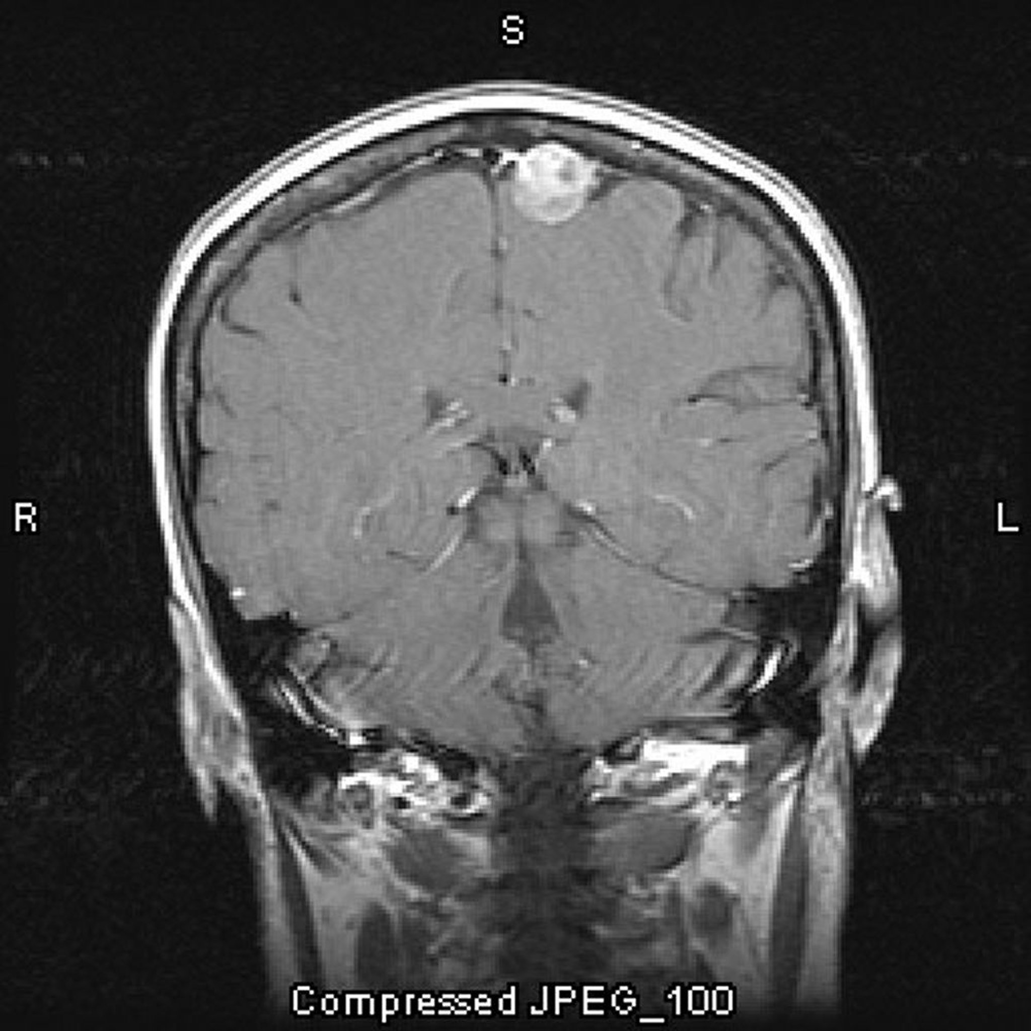
Hình ảnh chụp MRI có ngấm thuốc cản quang này cho thấy một u màng não. Vị trí cận đường dọc giữa là một vị trí điển hình với u màng não.
Hình ảnh do bác sĩ William R. Shapiro cung cấp
Trong các chủ đề này
Hình ảnh chụp MRI có ngấm thuốc cản quang này cho thấy một u màng não. Vị trí cận đường dọc giữa là một vị trí điển hình với u màng não.
Hình ảnh do bác sĩ William R. Shapiro cung cấp