Tiêu bản phết máu ngoại biên bình thường
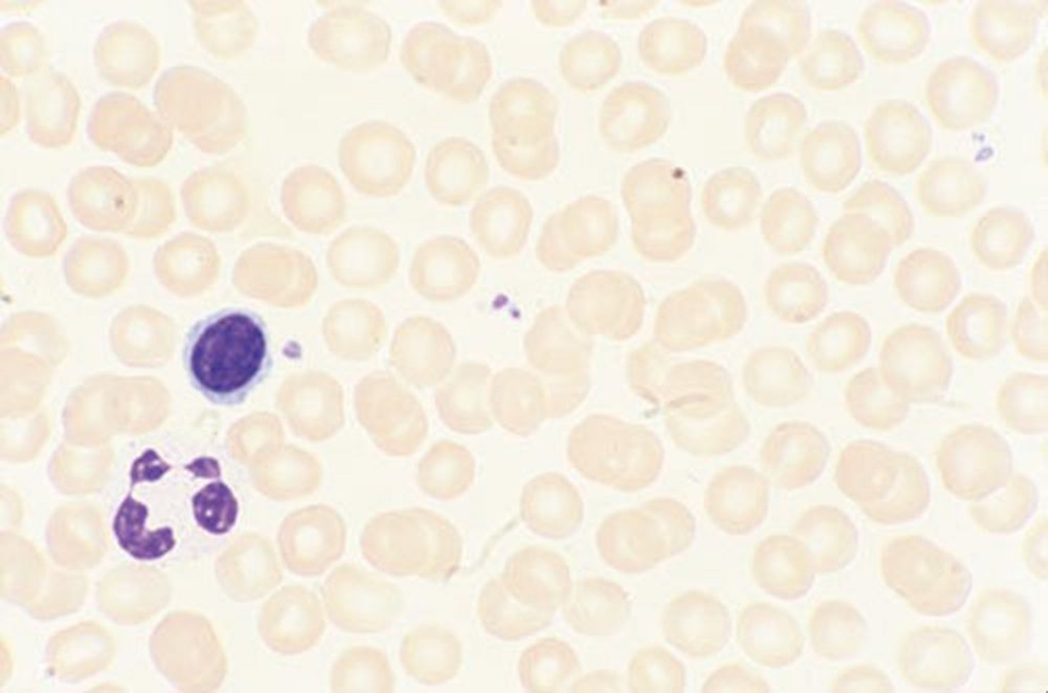
Một giọt máu được áp dụng trên một phiến kính sau đó được nhuộm bằng các vết đa sắc (Wright-Giemsa) để cho phép nhận dạng các loại tế bào khác nhau. Những chất nhuộm này là hỗn hợp của thuốc nhuộm cơ bản (xanh methylen) có màu xanh lam và thuốc nhuộm axit (eosin) có màu đỏ. Do đó, các thành phần axit của tế bào (nhân, RNA tế bào chất, các hạt ưa bazơ) nhuộm màu xanh lam hoặc tím và các thành phần cơ bản của tế bào (huyết sắc tố, hạt bạch cầu ái toan) có màu đỏ hoặc cam.
Được sự cho phép của nhà xuất bản. Từ Tefferi A, Li C. Trong Tập ảnh về Huyết học lâm sàng. Biên tập bởi JO Armitage. Philadelphia, Current Medicine năm 2004.
Trong các chủ đề này
