Thiếu máu cục bộ mạc treo (chụp mạch CT)
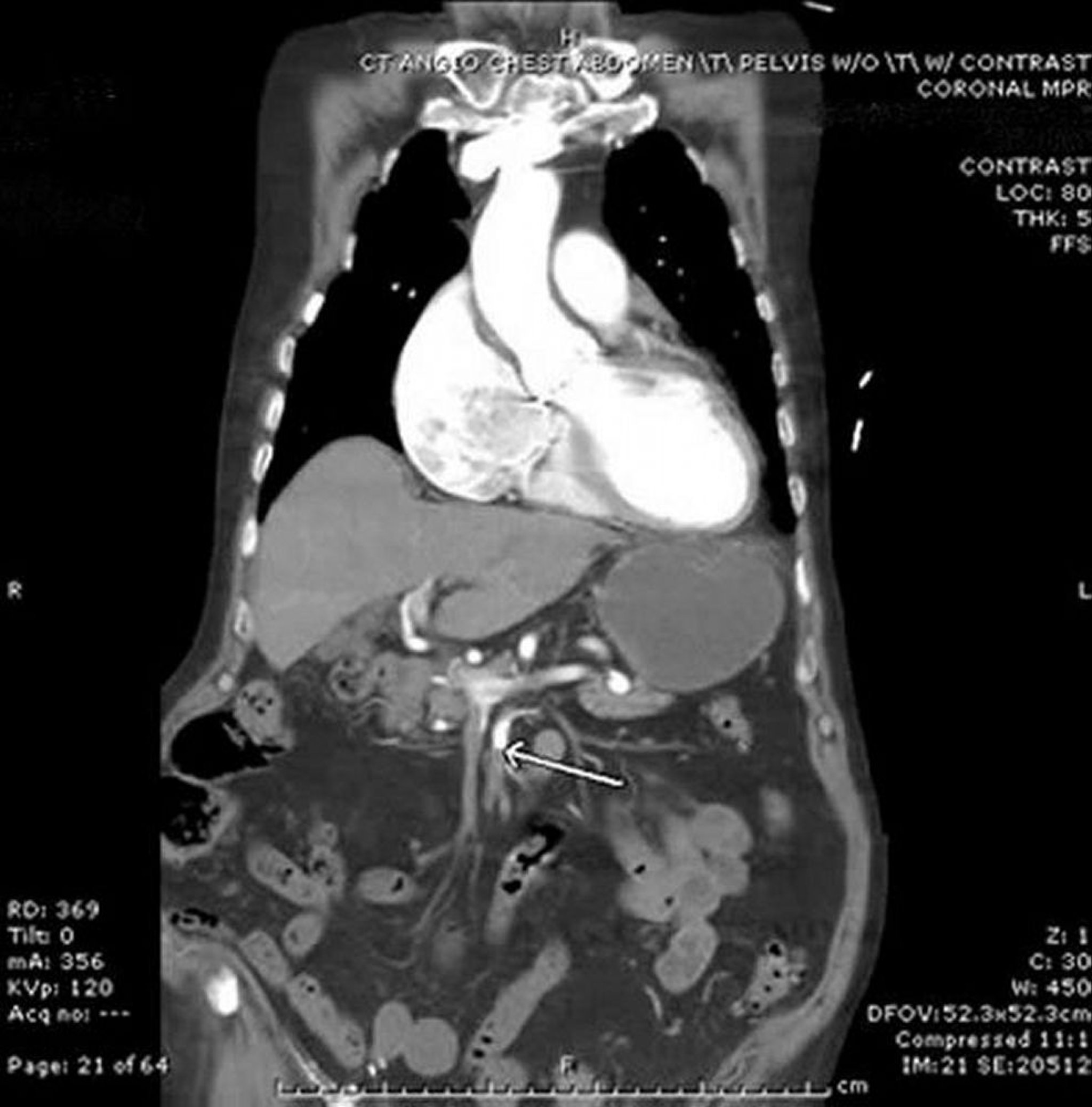
Trong hình ảnh này, mũi tên chỉ vào động mạch mạc treo tràng trên, nơi có điểm cắt đột ngột của thuốc cản quang đường tĩnh mạch. Thấy thành ruột non ở bụng trái hơi dày lên. Trường hợp thuyên tắc này là từ tim trên một bệnh nhân rung nhĩ.
Hình ảnh do bác sĩ Parswa Ansari cung cấp
Trong các chủ đề này
