Tụ máu ngoài màng cứng
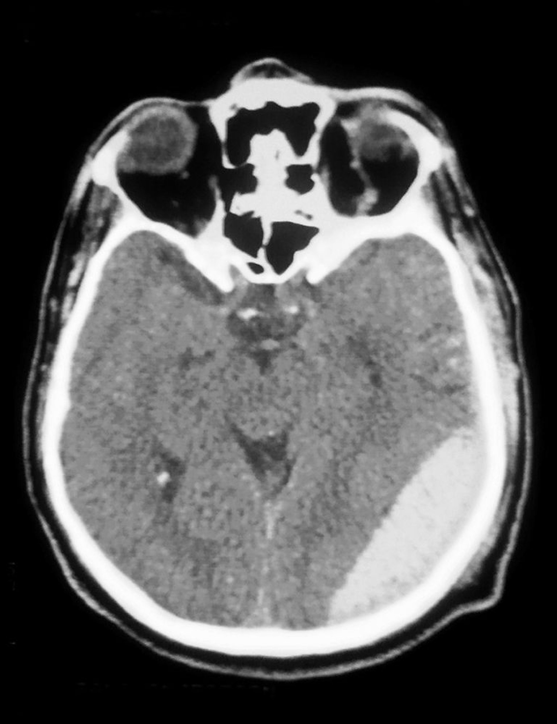
Chụp CT cho thấy một khối máu tụ ngoài màng cứng (mờ đục ở phía dưới bên phải).
Cavallini James/BSIP/THƯ VIỆN HÌNH ẢNH KHOA HỌC
Trong các chủ đề này
Chụp CT cho thấy một khối máu tụ ngoài màng cứng (mờ đục ở phía dưới bên phải).
Cavallini James/BSIP/THƯ VIỆN HÌNH ẢNH KHOA HỌC