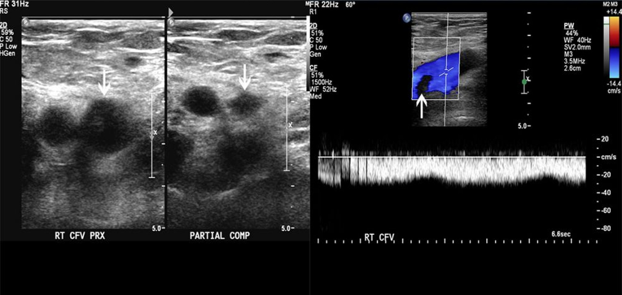
Siêu âm Doppler của một bệnh nhân có cục nghẽn trong tĩnh mạch đùi
Hình ảnh bên trái cho thấy khả năng nén một phần của tĩnh mạch đùi chung (mũi tên). Hình ảnh bên phải cho thấy một khiếm khuyết lấp đầy trên dòng Doppler màu. Những phát hiện này phù hợp với huyết khối.
© 2017 Bác sĩ Elliot K. Fishman.
Trong các chủ đề này
