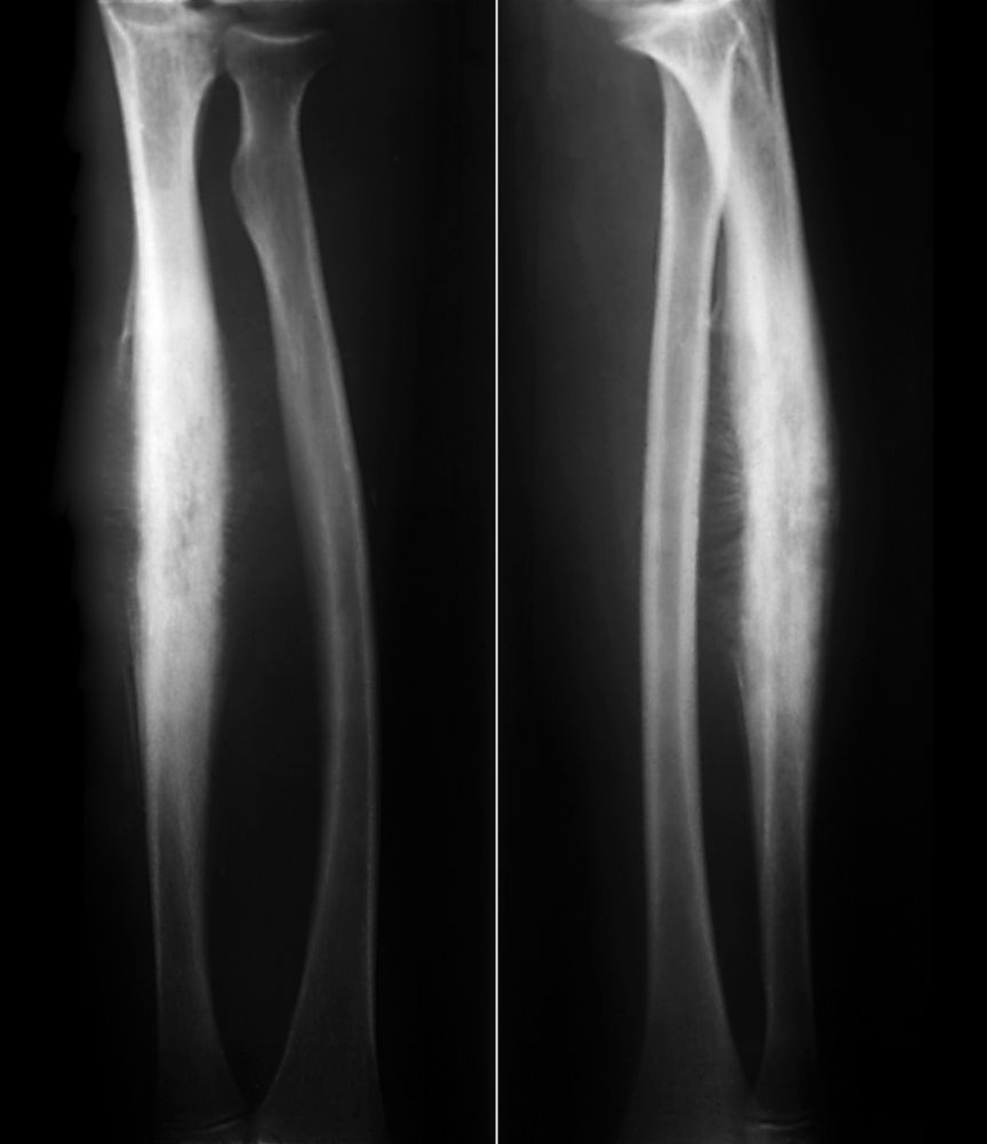
Sarcoma Ewing của xương quay
Sarcoma Ewing ở trục xương quay này cho thấy hình thành xương mới phản ứng dưới màng xương trong phản ứng màng xương dạng "ánh nắng mặt trời" điển hình cùng với phá hủy vỏ xương.
ZEPHYR/THƯ VIỆN HÌNH ẢNH KHOA HỌC
Trong các chủ đề này
