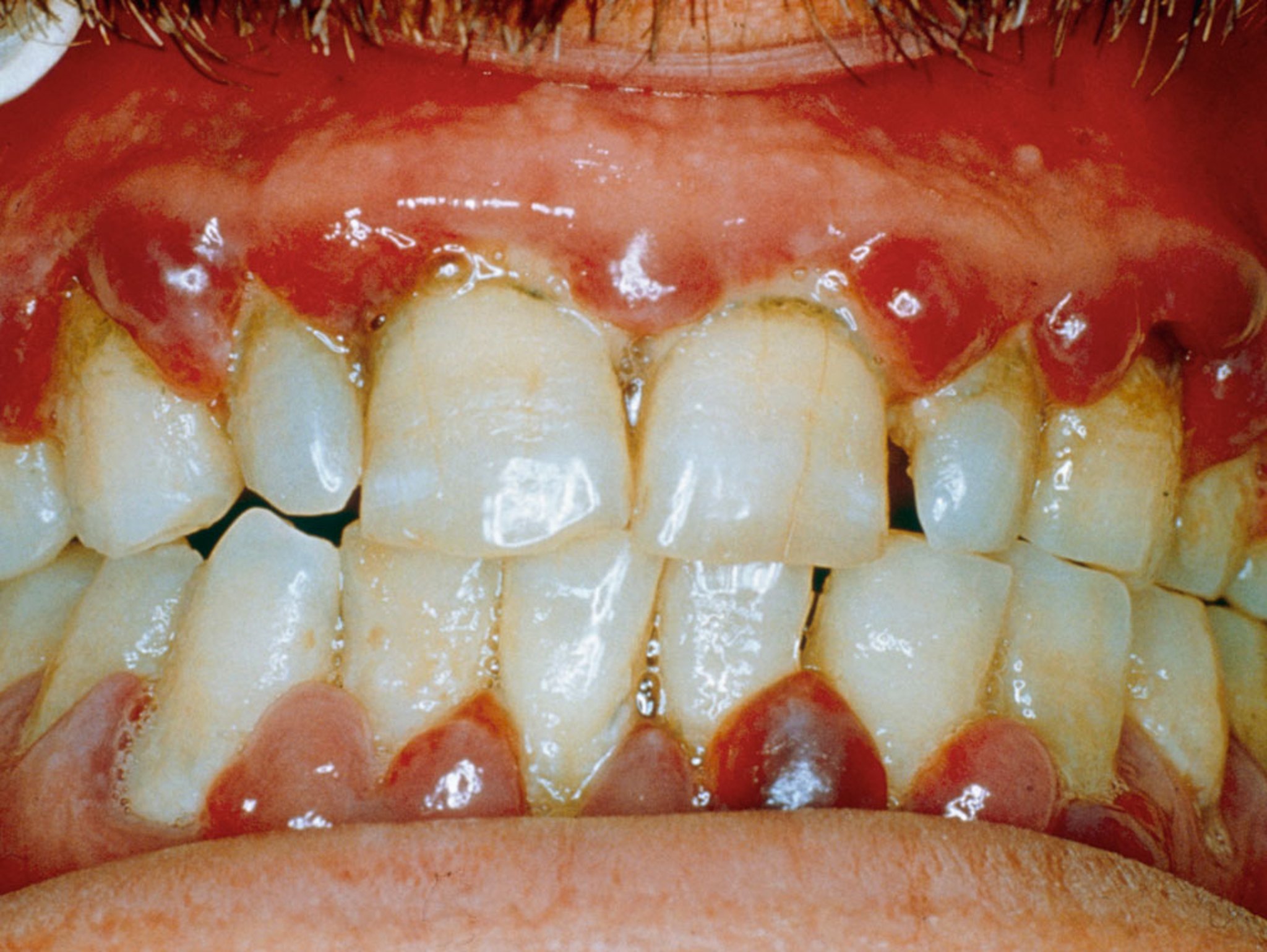
Sưng, viêm nướu trong bệnh scorbut
Bức ảnh này cho thấy nướu răng sưng tấy, tím ở một bệnh nhân bị bệnh scorbut.
BIOPHOTO ASSOCIATE/THƯ VIỆN HÌNH ẢNH KHOA HỌC
Trong các chủ đề này
Bức ảnh này cho thấy nướu răng sưng tấy, tím ở một bệnh nhân bị bệnh scorbut.
BIOPHOTO ASSOCIATE/THƯ VIỆN HÌNH ẢNH KHOA HỌC