Sâu răng (đang khám)

Sâu răng (đang khám)

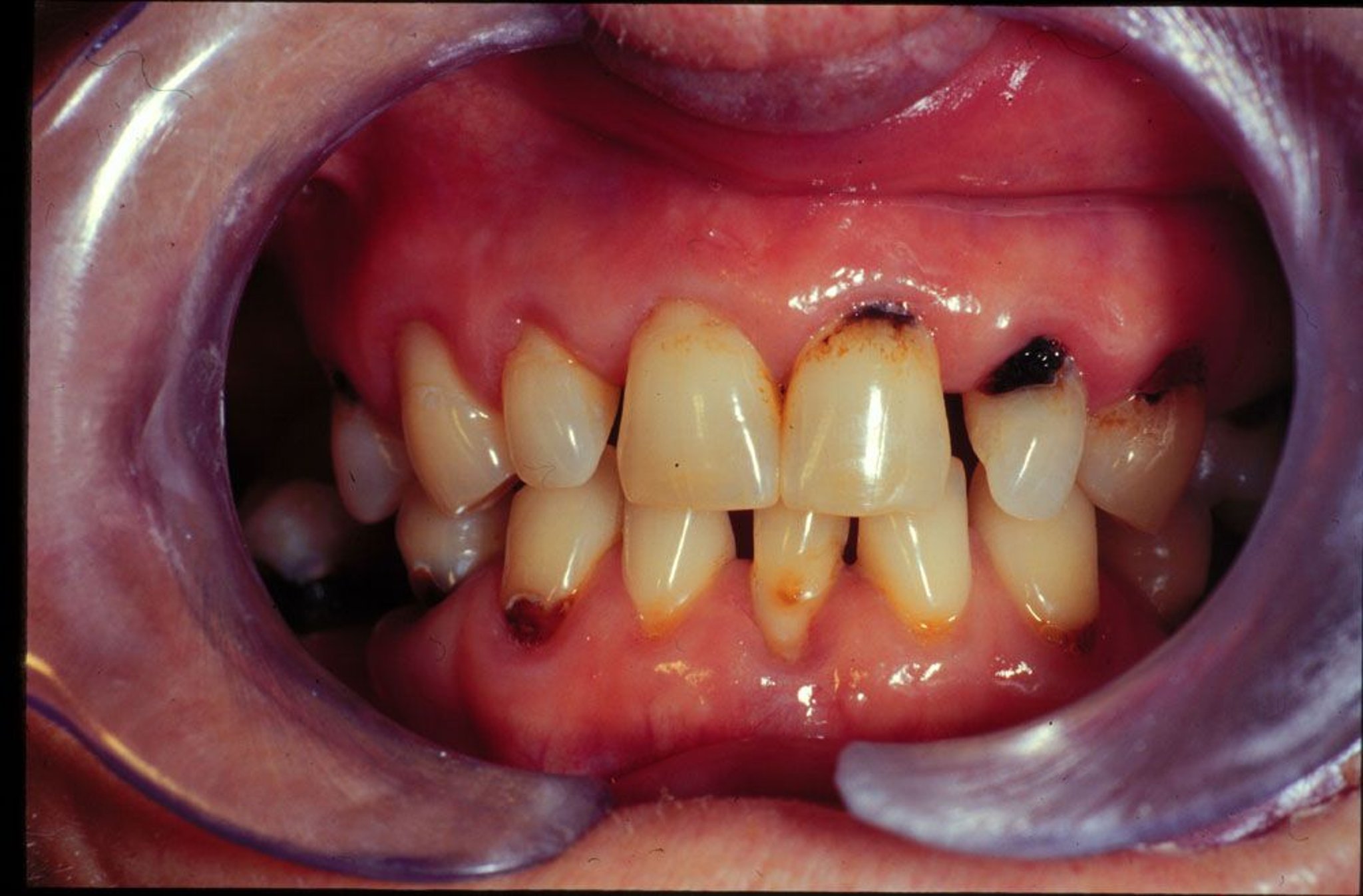
Sâu răng mới và tái phát ở bệnh nhân khô miệng.

Hình ảnh do bác sĩ nha khoa Jonathan A. Ship cung cấp.

Trong các chủ đề này